歯の矯正では顔の分析をします。歯科医は顔の形態にわりと敏感です。

欧米のコインやメダルに描かれた顔は大体横顔ですが、日本の紙幣に描かれた顔は全て正面に近い顔です。昔の日本人は鼻が低かったので横顔だけでは誰だかわからないというのが理由だと思いますが、これをもって日本人の正面顔文化、欧米の横顔文化というのは昔から言われています。

NHKの大河ドラマの時間帯に「坂の上の雲」が放映され正岡子規が注目を浴びていますが、我々は正岡子規の横顔しか見たことがありません。なぜ子規だけ横顔しか見たことないのか元愛媛県松山市立子規記念博物館の館長だった天野祐吉さんが書いています。(平成14年11月28日号週刊文春60ページ「この人のスケジュール表」から抜粋します)

「天野氏は中学1年の時、東京から旧制松山中学に転校、三年生修了の時点で六・三・三制が導入され松山南高校へ。言わば、正岡子規の”最後の後輩”に当たるのだ。

「だから愛郷心もあるし、その上、当時僕の家のすぐ傍に子規の住居跡の碑があったから、特に親近感があるんです。転校試験を明教館という元藩校の四十畳敷きもあろうかという広い和室で先生に見守られながら一人で受けた時、立派な欄間に松山出身の著名人の写真がたくさん掛かってたんだけど、子規だけ横向きの顔だったんですよ。僕は試験を受けながら『なぜ横向きで撮ったんだろう』と不思議でね。そしたら後年、子規の弟子だった河東碧梧桐の著書に子規は目と目がとても離れていたという記述が出てきて、なるほどそれを気にして子規は横顔を撮らせたのかと勝手に合点して(笑)」

 河東碧梧桐の文章、見つかるかもしれないと思い、捜してみました。ありました。熊本県立図書館の書庫に。河東碧梧桐著「子規の回想」(平成4年11月30日発行。出版は株式会社沖積舎。昭和19年の昭南書房版の復刻判のようです)。多分これでしょう。
原文は旧仮名使いで読みにくいので、院長が勝手に現代仮名使いに変えました。

5ページ途中から
前文略
 『顔面美容学からいうと、眼と眼との鼻梁を挟む距離が多くなる程、顔は醜くなるのだという。その反対にその距離が近くなればなるほど美しく見えるのだという。音楽家に美しい顔の少ないのは、常に耳を働かすために、顔面筋が外部へ外部へ運動する、その結果が眼と眼との鼻梁を挟む距離を多くするのもその一原因だなどという。
 しかし子規の眼の位置くらい、鼻梁を挟んだ距離の多い例は、私もかつて経験した事がない。二つの眼が対立しているというよりも、個々の眼が孤立している、と言った方が適切なくらい離れ離れだった。けれども、顔面全体として破調的の醜さも、不均衡な滑稽さも、見出されなかった。広く豊かな額、反歯を包むようにした−その実反歯ではなかった−上唇の膨れ上ったへの字なりに結んだ口と相まって、燃ゆる情熱と、透徹した判断力と、なれ難い厳格さとを漲らしていた。子規の死面でもとって置けば、顔面美容学などはすぐ覆されてしまうのだった。』

 眼と眼の間が近いほど顔が美しくなるというのも、音楽家が耳を使うために眼の間隔が広がってくるというのも初めて聞く話で、疑問です。でも相当眼の間隔が広かったのだろうというのは伝わってきます。

 院長のイメージする子規像はおもしろいひょうきん者です。「柿食えば鐘が鳴るなり法隆寺」。柿食えばなんてお堅い人は言いません。ちょっとふざけた感じが良いんだとおもいます。そしてそのおもしろさに人が集まっていたのだと思います。横顔を撮ったのもズルをしてというよりも、おちゃらけて撮った感じではないでしょうか。そんな気がします。それにしても長年の悩みが解消された天野祐吉さんは痛快だったでしょう。思わず膝を叩いた姿が眼に浮かびます。

 下らないと思われるかもしれませんが、合点がいくという経験、院長にもありました。

 大学の先輩である矢部町の野田先生とゴルフに行った時、野田先生が突然言われたのです。

 「学生時代、解剖の三木先生(この方については後述します。すごい人です)が言っていたんだけど、湯船につかって後から入ってくる人を見ていると、右利きの人は右足から、左利きの人は左足から入っているらしいよ。」「何でですか?」「三木先生が言っていた」

 これが気になるんです。悩みました。なぜかわからないのですが、気になって、気になって。

 一ヶ月後ぐらいに浅田次郎さんの「勇気凛凛ルリの色」というエッセーを読んでいて、次の文章に出会ってすべてが解決しました。

 「(前文略)当時の湯の温度は江戸ッ子の好みに従っておそろしく熱かった。いったい何度ぐらいあったのかは知らぬが、ともかくしずしずと浸り、肩まで沈めたら最後みじろぎもできぬぐらい熱かった。そういう湯の中で唸り声が出るまで辛抱をすることがイキとされていた。

 つまり、湯を動かしてはならないのである。爪先からそおっと入り、決して湯を波立たせぬように、そおっと浸る。熱さにたまりかねてザバッと立ち上がるなどもってのほか、ましてや了解を得ずに水をうめるなど、最低のマナーなのであった。」(講談社文庫、1999、P42)

 人間には利き足というものがあります。右利きの人は右足が利き足が多く、左利きの人は左足が利き足の場合が多いのです。

 あまりにお湯が熱いものだから、より鋭敏な方(利き足)で入れるかどうか探りながら入っていると考えるとすべて合点がいきます。

 次のゴルフの時に野田先生に伝えると「正解。三木先生も同じようなことを言っていたよ。」とのことです。下らないことですが、悩んだだけに解決した時の快感はありました。あと一番最初に何かするところはセンサー的な役割を持っていることがわかりました。 

 前の記事のような下らないことでも快感がありました。世界的な発見ともなるとその興奮ていうものはすごいのでしょうね。この文章少し、古いのですが、院長が個人的に好きなもので抜粋して掲載させていただきます。執筆者の鈴木司郎さんはこの後アラバマ大で教授になられたはずです。

題名「接着歯学の荒波に流されながら」アラバマ・レター8
執筆者:鈴木司郎米国アラバマ大学歯学部准教授修復学・バイオマテリアル学部門
歯界展望Vol.88No.2 1996年8月号
 「接着材といえば,いまでは世界中どこでもボンディングレジンとして使われており,ごく当たり前の方法になっている.しかし20年前はどうだったであろう.コンボジット充填もただ削って詰めるだけだったはずである.
 小生にとっては非常に幸いなことに,大学院でレジン材料を学び始めた頃,接着という概念が歯科界に芽ばえ始めていた.ちょうど4-METAレジンができた時である.始めはあまりに考え方が奇抜なため,よく師匠の中林宣男教授(現東京医科歯科大学医用器材研究所所長)を戒めたものであった.いま考えてみても恐ろしいが,小生は,「新しい材料とは伝統的な技術や学問の上にこそ成り立つもので,そこから逸脱してはならない」とか,「臨床家が言うことがすベて」などといつも主張していた頑固な大学院生であった.毎夜繰り広げられる中林禅問答で,クラウンを合着するのにセメントは何を使うかと質問され,リン酸亜鉛セメントやグラスアイオノマーセメントの良さをとうとうと述べ,「接着など研究の題材でこそあれ臨床には必要ない」と断言していた馬鹿者であった.
 確かに,研究でいくら良い成果が上がっても,実際に市販品にならず臨床に使えないものは砂上の楼閣にすぎないとも信じていた.ところがどうであろう,実際に市販品にもなり,少数とはいえ臨床家が使い始めたのである.前言撤回である.もしかすると小生が間違っていたのではないかとわずかながら思い始めたのである.
 そんなある日,師がついに人類のために役立つことが生まれたと大騒ぎをしたのである.何やらレジンが象牙質に浸透して歯を守る層ができたというのである.「これを,これを樹脂含浸層と命名する!」と興奮して叫ぶ師を見て,ああ,また病気が始まったと呟いてしまった.とんでもないあほうであったが,その興奮の理由がつかめなかったのであるからやむを得ない.
 その樹脂含浸層は後に中林のハイブリッドレイヤーとして世界中に広まり,師には,その命名者として世界的な賞まで与えられている.先見の明なしの典型であろう.(後略)」

 中林教授は結構命名にこだわりがありました。当時「第三世代の抗生物質 」という言葉はありましたが、それを転用(?)して、「第三世代のコンポジットレジン」というような表現を使っていました。今でこそ当たり前なハイブリッドという名前を付けたのが30年前です。iPS細胞の山中教授がiPodやiMacを意識してiを小文字にした話は有名です。すごい業績を挙げて最高の名前を付けて、なんかかっこいいですよね。やはり親が子に最高の名前を付けたいのと同じでその業績にすごい愛情を感じます。

 形態学の祖と言われるゲーテ(1749〜1832)。ゲーテとは「若きウェルテルの悩み」「ファウスト」で有名なドイツの詩人で作家のあのゲーテです。彼は、文芸的な方面の活躍が目立っているように思えますが、自然科学的な方面にも非常な才能を見せ、“すがた”、“かたち”の学問である形態学(Morphologie)に関するだけで六冊の本を残しています。
 まず植物に関するものを取り上げます。
 根、茎、葉、それが、植物の基本構造であるとゲーテは考えました。花は地面より上にある茎と葉が変形したものと解釈しました。花の構成器官であるがく、花びら、おしべ、めしべなども葉が変形したものと考えたのです。
 二〇万種以上とも言われる植物はその花びらの開き具合や、大きさ、色など、その部分、部分が変形したものであり、その基本構造はどれも同じであるという考えです。
 これは現在でも通用している考え方であり、小学生の教科書にも出ています。
 植物が基本構造が同じであるなら、動物も同じに違いないとゲーテは考えました。
 「基本構造の一致」と「代償の原則」が根底の理念です。
 「代償の原則」とは、ある器官が新たに付け加わっていれば何かがなくなっているはずだし、ある器官がなくなっているならば、それに代わる何か別の器官が付け加わっているはずだ、という考えです。基本構造が同じであるという仮説のもとに立てば、そうならなければいけないという訳です。
 肉食擁護のためか、キリスト教世界では、人間と他の動物を区別して考える傾向があるといいます。前歯四本を支える骨が、他の動物では割とはっきりしていたのに、人間では癒合が完全なためゲーテ以前の解剖学ではこのラインが見つけられなかったのです。
 その前歯四本を支える骨を「鼻面(はなづら)骨」と呼んで、その骨があることが、人間と他の下等動物とを区別する理由の一つにもなっていました。
 ゲーテは人間も動物である限り、「基本構造の一致」「代償の原則」からいって、必ずあるはずだと考え、探し、そして見つけました。1784年3月27日のことです。
 この発見が、ゲーテは余程うれしかったとみえて「ぼくは発見した。金でも銀でもないが、言いようもなく嬉しい。人間の顎間骨を発見したのだ」と知人に知らせということです。
 このラインは今日、切歯縫合と呼ばれるもので、解剖学の用語でもその後ずっとSutura incisiva Goethei〔切歯縫合(ゲーテ氏)〕と呼ばれてきましたが、1955年国際解剖学会で人名は使用しないように取り決められ、現在、切歯縫合Sutura incisivaとなっています。
 前歯四本を支える骨は現在では切歯骨Os incisivumと呼ばれています。
 上顎骨と下顎骨の間にある骨だというので顎間骨とよばれたのだと思います。

 17世紀後半に顕微鏡が出回り出し、人々が微細構造の研究に没頭している中、ゲーテは望遠鏡を、顕微鏡を人間の持つ本来の感覚を狂わせる物と憎み、人間の健全な感覚を重要視し、肉眼による観察、「直感的洞察」に重きを置き、成果を上げました。
 ゲーテは、解剖学者でもなく、植物学者でもなく、自然科学においては、独学の、ただの好事家に過ぎなかったといいます。
 本業以外の自然科学の分野でも、植物においては現在にも通用する概念を作り上げ、幾多の解剖学者が一生を費やしても到達出来なかった切歯縫合を発見したゲーテはやっぱりすごい人だと言うしかないでしょう。
 

 世界における形態学の祖がゲーテならば、日本における形態学の大家は三木成夫先生です。

 ウィキペディアによると

  「三木 成夫(みき しげお、1925年12月24日 - 1987年8月13日)は、香川県丸亀市出身の解剖学者、発生学者である。

  丸亀中学から六高、九州帝国大学航空工学科、東大医学部と進み、東大助手を経て、東京医科歯科大学助教授、東京芸術大学教授となり教鞭をとった。

  生前に出版された本は二冊(『胎児の世界』中公新書、『内臓のはたらきと子どものこころ』築地書館)にすぎないが、死後続々と遺稿が出版され、解剖学者・発生学者としてよりも、むしろ特異な思想家・自然哲学者として注目されている。

  三木が思想的影響を受けた人物としては、冨永半次郎、ゲーテ、クラーゲス、宝井其角などを挙げることができる。自然科学者としての三木は、西欧近代の硬直化した機械論的、実証主義的立場から距離を置き、人間と自然との生きた自然感覚とでもいえるものを取り戻そうと試みた。そのことが、自然界の中で持っていた固有のリズムを喪失した現代人に、強く訴えかけるものを持っていると考えられる。

  死後、ほぼ毎年、「三木成夫記念シンポジウム」が開催されている。」


 院長は先生の講義を受けたことはありませんが、講義を受けた先輩達の話を聞くと、50年近く経った今でも「先生はこんなことを言われた」とよく覚えておられるそうです。
 先生の著書「生命形態学序説」(うぶすな書院、1992、¥3800、待合室に置いておきます)によると「万物の根源はらせん(螺旋)」だそうです。

  植物の成長はらせん状に行われます。葉の付き方は真上からみると渦を巻いているように見えます。つたもらせん状に木にからまって行きます。大動脈の壁も各層の繊維がらせんを描いて交織しています。神経線維もらせんを描いています。DNAがらせん状に配列されているのは有名です。大星雲も渦を巻いています。その他にも羊の角、マンモスの牙、伸ばし過ぎた爪、腸管、尿管、卵管、精管もすべてらせんを描いているということです。
  火山の噴煙、台風の渦、ジェット気流そして濁流などなどおよそ自然の流れの中で渦巻きの形態をとらないものは何もないと言っても過言ではないと述べられています。
  先生は芸大生に解剖を教えられたということですが、イメージがレオナルド・ダ・ビンチと重なるところがあります。 実際この本の中に数多くの先生自身が描かれたシェーマ原図が収録されていますが、まさに芸術作品です。

  「がんばらないけどあきらめない」で有名な医師の鎌田實先生も三木先生の思い出を次の様に書かれています。(鎌田實先生は院長の大学の先輩ですが、お会いしたことはありません。)

  週刊朝日2005.6.3号40ページ

  「がんばらないけどあきらめない」鎌田實「人間はどこから来たのか」

  君はスーを見たか。全長12.8メートルの世界で最も有名な恐竜と言われるティラノサウルスを国立科学博物館で見てきた。6700万年前のスーは巨大恐竜としてアメリカ大陸を闊歩していた。人間の祖先がうまれたのが700万年前だから人間が誕生する前の話だ。

  スーザン・ヘンドリクソンという女性が発見したので、発見者の名をとって「スー」と呼ばれるようになった。化石の調査を終えて帰ろうとした時、突然霧が消え、太陽に照らしだされた崖に、恐竜の骨がうき出して見えたという。スーは6700万年もの間、発見されるのを待っていた。近くに若いティラノサウルスの骨もあった。スーには家族がいた可能性があるという。

  スーを見ながら僕は三木成夫先生のことを思い出した。まじめな大学生ではなかったが、東京医科歯科大学 で三木先生の授業が聞けたのは至福の喜びだった。解剖学や発生学を教えていただいた。「胎児の世界」(中公新書)「海・呼吸・古代形象」(うぶすな書院)といった魅力的な本は、先生が亡くなられた後も、たくさんのファンが読み続けている。「三木学」とか「三木教」とも言われ、熱烈なファンが多いらしい。三木先生の命の言葉は哲学者や思想家の言葉のような重みを、今も発している。ぼくらを教えてから数年して東京芸大の教授になられた。そこでもたくさんの芸術家の卵に影響を与えたようだ。医学博士が芸大の教授になるってのも変わっていておもしろい。

  「すがたかたちの解剖学」の講義の中でゲーテの植物研究「原型とメタモルフォーゼ」を引用しながら、生命の40億年の歴史の偶然と必然を魅力的に話してくれた。医学部でゲーテの「ファウスト」の話が聞けるとは思っていなかった。でも大事なことだ。医学者を育てる場だからこそ、感性を養う場が必要なんだ。幸せな時代だった。生物の現象の「かたち」を通して「こころ」を見ることを教えてくれた。

忘れられない三木先生の講義

  形態学をしっかり学びなさいと何度も教えられた。ゲーテの人間とは何かを追い求めていく芸術の深さは、形態学がしっかり基礎となっていると力説していた。ちょうど大阪万博の年に彼の授業を受けていた。評判になっていた岡本太郎の太陽の塔を例に挙げ、人間の形態学が身に付いていないから、人間を追い求めていたのに、太陽の塔は人間を表せていない。芸術は爆発だなんていっても 、人間をきちんととらえる目をもっていないといけない。失敗作だと話してくれた。マスコミが岡本太郎を時代のシンボルとしてもてはやしている時に、三木先生から違う観点があることを教えられた。

  ぼくらは母親の子宮の中で十月十日の歳月をかけて育つ。受胎32日目の胎児の顔を見せてくれた。まぎれもない原始魚類の顔だった。事実から眼をそむけるなと教えてくれた。34日目、胎児の顔は相変わらず不気昧だった。両生類の顔をしていた。40億年前、この地球上に生命は生まれ、単細胞の生物が何億年もの時間をかけて複雑化し、大型化して、母なる海から上陸をしようとしている。水の中で呼吸していた生物が初めて陸にあがり、肺の呼吸ができなかった間は、苦しかったと思う。苦難をかかえた顔をしている。ぼくたちがこうやって人間として生きていられるのも、誰かが苦しみに耐えて陸にあがってくれたおかげだ。36日目、原始爬虫類のような顔をしている。3億年前の恐竜の時代である。ぼくが国立科学博物館で見たスーの顔をしていた。38日目、哺乳類の顔に近づく。こうやって、医学生に人間の原形を丹念に見せてくれた。原形はすべて美しいものではなかった。40日目、やっと人間の顔になった。
 三木成夫の講義は科学的な事実に即しながら、生命の不思議さを教えた。40億年の生命の歴史を十月十日の間にもう1度くぐり直して、ぼくらは人間の子として生まれてくる。生命のすべての記憶が、ぼくらの体にしみ込んでいるのだ。だからかけがえのない命なのだ。三木成夫は、西洋の薄っぺらな人間至上主義というヒューマニズムを超える哲学を教えてくれた。大きな生命の流れの中で、人間が誕生したこと。人間はこの地球でナンバーワンではないということ。大いなる自然の一部であること。
  40億年前、生物がいなかった地球に生命体が突然できた不思議。単細胞で全く同じ生物が複製され、増殖していたのに、雌雄ができた不思議。その結果、それぞれの性染色体の一本ずつが合体して初めて新しい個が誕生した。個性ができて初めて死という概念が生まれた。生き物に生と死があるという不思議。三つ目の不思議は生命が上陸したこと。いくつもの不思議が重なって人類が生まれた。人間とは何者であるのか、人間はどこから来たのかと三木先生は医学生のぼくたちに考えさせようとした。ぼくは三木先生の宿題を今も解き続けている。未だに答えは出ていない。

  院長に芸術を評価することは出来ませんが、一度ゲーテの形態学のベースにある「基本構造の一致」と「代償の原則」を知ってしまうと、神話に出てくる馬の首から上が人間の上半身になっているケンタウロスや馬に翼がはえているペガサスに妙な違和感を感じるようになったとだけお伝えしておきます。三木先生の講義の様子を伝える文章はVの一番下に出てきます。

「生命形態学序説 」三木成夫、うぶすな書院、1992.P30人胎児の顔貌変化。三木先生直筆のスケッチです。頭部を胴体から切離し、双眼実体顕微鏡の下で拡大して写生したものです。手の変化も描かれています。

最初はヒレに似た形状からミズカキ様になり、最後は指になっていきます。

受胎32日35日.jpg

P31

受胎36日38日.jpg

「唯臓論」後藤仁敏、風人社、1999、P54

6 顔の由来
 顔の発生に刻まれた進化
 私たち人間の胎児の顔が、発生のごく初期にサメの顔から、原始硬骨魚類と両生類、爬虫類の顔を経て、原始哺乳類の顔の「おもかげ」からしだいにヒトの顔に近づいてくることを、見事な胎児顔面のスケッチで示したのは、三木成夫氏の大きな業績である。
 すなわち、受胎三二日目のヒトの胎児の顔は、大きな口の裂け目に続くエラの裂け目をもつ古生代デボン紀のサメ類の顔を連想させる(これを三木氏はサメの姿をした人の意味で「半鮫半人」とよぶ)。
 続く三五日目のそれは、大きな鼻の穴とつながる口をもつ、いわゆる「三つ口」の顔で、古生代デボン紀後期〜石炭紀の原始硬骨魚類や両生類の顔に似ており、その背後に突出する中脳こそ硬骨魚類と両生類の脳のシンボルである(半魚半人)。
 そして、三六日目のそれは、突出した口吻(こうふん)とやや前を見はじめた目、背後の中脳の突出の前方に膨らみつつある大脳は、ニュージーランドの孤島にすむ中生代三畳紀に栄えた原始爬虫類の生き残りであるムカシトカゲの顔を思わせる(半竜半人)。
 さらに、三八日のそれは、大きな鼻面と前を見る両目、完全に分離した鼻と口、大脳の膨らみを示すオデコなど、もう新生代第三紀に栄えた原始哺乳類の顔である(半獣半人)。その顔は、「密林の聖者」とよばれるミツユビナマケモノの赤ん坊にそっくりだという。
 じつに、ヒトの胎児は、受胎三二日からのわずか一週間のあいだに、五億年におよぶ脊椎動物の進化の歴史を象徴的にドラマチックに再現して見せるのである。

(院長註)シェーマは一般の方には馴染みの薄い言葉かもしれません。ちょうど生命形態学序説P22に解説が出ていましたので、付記します。スケッチのようなものと考えてもらっていいと思います。

「『シェーマ』はギリシア語のshema=form,figure,fashion,characterに由来する。画家が外貌のイメージをキャンパスに画像として固定するように、解剖学者は構造のイメージを黒板にシェーマとして残す。」

「生命形態学序説」三木成夫、うぶすな書院、1992、PⅤ

序 文
 「解剖学anatomia」と「形態学Morphologie」はしばしば混同されています。が、両者は本質的に違う学問です。どのように違うのでしょうか。それをまず本書によって学んでいただきたいと思います。しかしそれだけではありません。ここでは「生き物の姿一時空を超えた形」について、これまで誰もなしえなかったほどに深く洞察されています。だから本書の内容は、単なる「解剖学」でもなければ「形態学」でもないのです。それは、固有名詞をつけてまさに「三木学」とでもいうほかありません。
 次に強調しておきたいことは、本書の後ろに著者の自筆になる原図がつけられていることです。 これを目にして、すべてを理解できないとしても、感動しない人はいないと思います。自著の原図をこれだけ高いレベルで描くことのできる人は、過去現在、洋の東西を問わず、まだ寡聞にして他に知りません。天才と呼ばれることを、著者は生前に嫌われていましたが、あえてここでそう呼ぶことを許していただくことにします。実兄三木照也氏の回想によりますと、著者は小学校四年生にしてすでに唐時代の書家虞世南の書法をものにされていたそうです。これほどの才能をもって、なおかつ身を削るような精進を続けて描かれた原図から、どうかその真意を汲みとってください。
 著者は、また稀にみる話術の名手でもありました。聞く者の胸深くしみとおるような語りに、人々は深い感銘をうけたのです。他界されてからすでに5年たちました。もはやその謦咳に接することはできません。 しかし今ここに装いをあらたにして遺著が世に出るのはまことに喜ばしいかぎりです。これは書肆の熱意によることはもちろんですが、旧著を見直して誤植などを改め、かつ詳細な原図の説明をつけられた後藤仁敏博士ほか、ころろある人々の協力によるものです。これらの方々に、ここで感謝の意を表するとともに、現代科学技術社会の流れのなかで一人でも多くの読者が「三木学」を体得されんことを切実に願っています。
平成四年夏、エンジュ(槐)の花を仰いで。              平光厲司

生命形態学序説の表紙の挿絵より

表紙のシェーマ.jpg

  三木先生が宇宙の根源現象として「らせん」と共に重要視したものが「リズム」です。
  我々人間は心臓の拍動のリズムがあり、呼吸のリズムがあり、月経のリズムがあります。

生命形態学序説P9

  「その身近なものとしては、地球に四季の移り変わりをもたらす「年リズム」、潮の干満・大潮小潮の交替を告げる「月リズム」さらに昼と夜を目まぐるしく交替させる「日リズム」の三者がそれぞれ太陽系由来のものとして識別されるが、このほかリズムの語原となった水波を中心に,光の波・電磁波・音波・地震波から周期的な気象変動・地殻変動,さらにはあの氷河期の繰り返しにいたる数えきれない長短さまざまのリズム波が知られている。 それらは,いってみれば,素粒子のスピン運動と宇宙球のラセン運動を両端に持つ”宇宙波”の雄大なスペクトル帯のいずれかの分画に由来するものと考えられる。

生命形態学序説P23(院長註このページは解説なので三木先生の文章ではないと思います。)

  「週リズムは存在するか? 潮の干満・昼夜の交替に匹敵する程の自然のリズム現象が,7日の周期で起こるということはふつう考えられていない。しかし,動物の肉体には7日を周期とするひとつのリズム波が存在するように思われる。岡田はウサギの歯の断面にみごとな「日輪構造」を実証し,しかもその一昼夜を示す濃淡の縞が,さらに大きな約7日周期の縞模様をつくることを写真で実際に示した。
(岡田正弘「脱灰象牙質の染色性と石灰化との関係」(英文)日本学士院紀要35- 1 1959)
  この歯牙に刻印された7日周期は,とうぜんヒトをはじめとする他の動物の歯にも証明されることになるが,しかしあらためて人間の生活を振り返ると,そこには”週制度”とは無関係に,この肉体がほぼ7日の周期で,いわば“脱皮”してゆくさまざまの例にぶっつかるであろう。初七日・四十九日・七種(くさ)など。古代ユダヤ人が週暦に踏み切ったのは,こうした生のリズムを各自がめいめいの肉体の奥底で,すでに実感しつくしていたからでなければならない。」

(院長註:岡田正弘先生は東京医科歯科大学薬理学の教授でした。歯には木の年輪と同じように日輪線があります。この日輪線が7つのグループで一つの週輪線を構成していることを証明し、一週7日に意味があることと関連づけました。岡田先生はこの発表により日本学士院賞を受賞され、最終的には東京医科歯科大学の学長まで務められました。)

生命形態学序説P12

  「宇宙根原のかたちを,われわれは以上のようにまず空間的な「らせん」から時間的な「リズム」に求め,ついでこの宇宙のリズムのすべてを互いに双極的に聯関する“自然リズム”と”個体リズム”の姉妹に分った。
ここからもしわれわれが,この大自然に溢れるリズムを生きものとして感じとろうとすれば,われわれ自身のからだもまたこれと共鳴できるように生き生きと波打っていること,いいかえればこのからだが,生きたひとつの「小宇宙」であらねばならぬ,という結論に導かれることとなる。
 さてここで人類の歴史を振り返ると,そこでは「精神」と呼ばれる人間独自の機能が,時と共に“二通りの方法”で,かれら自身のリズムに介入したという事実が知らされる。そのひとつは,精神がいわば指揮者の振る「タクト」となっで”個体リズム”にひとつの「節」をつけ,その打拍によって”自然リズム”との共鳴をさらに推進させたという事実である。この場合,精神は上に述べた個体の本来のリズムに奉仕したこととなる。これに対し他のひとつは,精神が為政者の仕切る「ダム」となって”個体リズム”に堰をもうけ,そうして個体を“自然リズム”からしだいに切り離そうとしたという事実である。ここでは精神が個体の持つ生の流れを支配しようとする。さきにふれた文明人の“季節感喪失”は,まさに,この“自然支配”の申し子として,こうした精神の固必的な機能に由来するものと思われるが,ここでふたたび「生きていることとは四季色とりどりの移り変わりにこの肉体がしたがうこと」といったゲーテの真情を,われわれは古代の知として思い起さずにはいられないのである。
 こうして見れば,われわれの生命感情とは,つきつめていえば,それは大小宇宙の共振によるものであることがうかがわれる。 この「生」の充実度にしたがって,自然もまたそれだけ生きたものとして,ひとびとの眼に映るようになるのであろう。真の健康とは,このような基盤の上に成立するものでなければならない。

(院長註:ゲーテの「ウィルヘルム・マイスターの遍歴時代」の「見るべき以上のものを見」「聞くべき以上のものを聞いて」感覚と精神のバランスを崩していき、知らず知らずのうちに傲慢な精神を育てているや、鎌田實先生の文章の最後の方、「人間はこの地球でナンバーワンではないということ。大いなる自然の一部であること。」あたりと重なってきます。)

 

  熊谷守一先生(1880〜1977)という洋画家がおられます。院長の手元には1978年刊行の「アサヒグラフ別冊美術特集日本編11熊谷守一」があります(待合室に置いておきます)。この方の一生を追いかけるだけで相当興味深いものがあります。若い頃は写実主義で東京芸術大学の卒業制作「自画像」や文展で賞をもらった「蝋燭」などそのデッサン力のすごさに圧倒されます。晩年は抽象に変わり、その極端さは、昭和天皇がお付きの人に「子供の絵か?」とお聞きになったという逸話も残っているほどです。日本のピカソとも称されます。

  この方は文化勲章も叙勲(勲三等)も辞退されました。理由は一切の派手な事が嫌いだったからとか、これ以上自宅に人が来るようになっても困るからだとか、勲章は軍人を思い出すからきらいとか、国のために何もしてないからなどと言われております。

  97歳で亡くなりましたが、晩年の30年は一切外出せず、自宅で昆虫などを対象に作品を残されたそうです。91歳で「赤蟻」という作品を描かれました。今にも動き出しそうな蟻の絵です。蟻の足は3対6本です。熊谷先生は「地面に頬杖つきながら、蟻の歩き方を幾年もみていてわかったんですが、蟻は左の二番目の足から歩き出すんです」とおっしゃったそうです。

  もちろん世界初の指摘です。どんな生物学者も昆虫学者も指摘したことはありません。むしろ画家としての視点が気付かせたのだと思います。

  六足歩行どころか四足歩行さえも完全に理解できていない院長が解説するのもなんですが、それなりに考えてみました、何でだろう。姿勢が安定するのは、三脚の理論から言えば、三本足で十分でしょう。それも左の前後2本と右の2番目のような組み合わせが1番安定するでしょう。残りの三本の内、どれが一番安定した状況で動けるかと考えると、前後に守られた左の2番目だろうというところまでは思い付きました。しかし、なんで左なのか、未だにわかりません。

  過日、テレビのグルメ番組で「タラバ蟹は下から2番目の足が一番うまい」とやっておりました。タラバ蟹は他の蟹と系統が違いヤドカリの仲間だそうで、4対8本の足を持ちますが、一番上の足は爪です。歩くのは下の6本でしょう。そうかんがえると蟻と同じよく動く下から2番目が身もしっかり詰まってうまいのでしょう。

  しかもこの2番目の足、着地の時、地面が踏ん張れる程の固さがあるかどうか測るセンサー的な役割も持っています。そう熱いお風呂に入る時のように。地盤がゆるければ、しっかりした所を捜し、置き直します。利き足的な性格を持ちます。

  熊谷先生は「私は好きで絵を描いてるんではないんです。絵を描くより遊んでいるのが一番楽しいんです。石ころ一つ、紙くず一つでも見ているとまったくあきることがありません。火を燃やせば、一日中燃していてもおもしろいんです。」という言葉を残しています。それにしても蟻を見続けて幾年ですよ。こんなすごい人には足元にも及ばないでしょうが、院長も観察を、患者さんがどう噛むか、どう食べているのか、画家の眼を持って見続けていかなくてはと思っています。

熊谷守一さんの話はこの後2018年に映画になりました

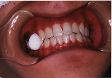
  六足から利き足を見抜くのも大変でしたが、噛み癖(利き歯?)を見抜くのはどうするか?標準的な人で上顎に14本、下顎に14本歯はあります。上下1セットと考えてもこれを見抜くのは至難の業と思われますが、わかってみるとあっけないほど簡単でした。発見したのは広告代理店の博報堂の歯科室勤務の石幡伸雄先生です。入れ歯の患者さんで直しても直しても同じ人工歯が取れてくる。噛みあわせでそんなに強く当てているわけではないのに理由がわからない。いったいどんな噛み方をしているのだろうと手元にあった円柱状の綿を患者さんの舌の上に置き、「噛んでください」と言ったところ、患者さんが人工歯の取れた所で見事に噛んだそうです。ある程度厚みのある固い物を同じ所だけで繰り返し噛んでいれば、その人工歯も取れてきます。取れてくる理由がわかりました。そして取れてくるその場所が噛み癖のある場所なのです。そうなんです、噛み癖を見抜く方法とは、円柱状の綿を患者さんに噛んでもらうだけです。最初に噛む所を噛み癖のある所と位置づけます。最初に噛むところですからセンサー的な役割を勿論します。食べ物の形状や固さ、どのように噛めば一番効率がよいか、いろんな情報を他の咀嚼器官に伝えます。

噛み癖診断1.jpg
噛み癖診断2.jpg

  石幡先生は院長が学生時代に部分入れ歯の教室の助手(今の助教)でした。「学生諸君、噛み癖を診断する画期的な方法を見つけた。講義をするから午後5時に講義室に集まれ。」と我々の学年だけ招集され、クラスの半数ぐらいが残り、講義を受けました。後から噂を聞いた教授から「何勝手なことをやっているんだ」とお叱りを受けたそうですが。石幡先生の誰かに伝えたかった気持ちはものすごくよくわかります。

  この方法あまりにも単純なせいか、「円柱状の綿でなくてもいい、綿を丸めたものでもできる」とか「綿でなくても、食品でもできる」とか言い出す人が出てきました。実際TVでゲストの人に「手元に用意してある漬物を口に入れて噛んで下さい。最初に噛む所が噛み癖のある所です。」と言う開業医を見てあきれました。誰にも真似されたくない立派な業績がある人ならば絶対こんなことはしないでしょう。何もないからこんなことをする。最初の発見者に対するリスペクトがなさすぎます。

  熊本市の歯科医師会の講演会で石幡先生に教えてもらった方法ですと紹介しましたところ、意外にも一般歯科の先生ではなくて、矯正の専門医の先生に感謝をされて、「いつも同じブラケットが取れてくる患者さんが居たんですけど、早速試してみました。やっぱり取れるところでばっかり噛んでいるようです。患者さんにもそこでばっかり噛んでいることを意識させることができました。何より私自身が長年の疑問を解決できたのが、うれしくて。」と感謝されました。「改良型と言えば何ですけど、円柱状の綿に水分を含ませた方が質感が出て良いのではないでしょうか?」と言われました。

  その一方で「綿を噛むだけで何が偉いのか」とどうしても理解できない先生もおられました。院長にはゲーテや熊谷守一先生からも影響を受けた三木成夫先生が学生に伝えたもの、残したもの、それが受け継がれ、語り継がれ、ここに最高の果実として結実したように思えて仕方がないのですが。

  同じところで繰り返し繰り返し噛む訳ですから、起きることは一言で言えば「崩壊」です。しかも年齢が上になるほど顕著になってきます。最初は知覚過敏などのしみる感じから、次の段階で歯の欠けや破折、詰め物、かぶせ物もとれやすくなります。一気に起きるわけでなく、何年単位、何十年単位でじんわり、じんわり起きてきます。次の段階で歯の神経にまで影響が出ます。神経を取ったり、根の治療をしたりしても、そこで噛んでいる限り直りも悪くなります。根の先に膿も溜まりやすくなります。歯を支える歯槽骨の吸収も進み、歯周病も進行しやすくなります。顎関節にも影響がでます。噛み癖のある側の顎関節は動きが悪くなり、痛みが出やすくなります。

  噛み続けた歯は最終的には歯根破折などを引き起こし、抜歯になります。

  「崩壊」を防ぐには、噛み癖を自覚してもらい、局所に集中しがちな力を分散すべく、まんべんなくいろんな所で噛んでもらうようにしてもらいます。ある程度年齢(50歳ぐらい)がいったら、あまり固いものは噛まないでください。若いからといって、氷をばりばり噛んだり、瓶の栓を歯で開けたりしないように注意しましょう。歯の崩壊も負荷の蓄積のような気がします。大体すごく固い物を噛む時は、噛み癖の位置で噛めるかどうかセンサー的に探りながら噛みますので、噛み癖部位に割れるかどうかの過大な負荷を強いることになります。

噛み癖による顔の変形.jpg
噛み癖による顔の変形2.jpg

  噛み癖との関連性が言われているもの

顔面部の左右差

  顔の幅、眼の大きさ、鼻筋の曲がり、人中の曲がり、鼻唇溝の深さ、口唇の曲がり、咬合平面の傾き、頬の張り、舌背の傾斜、上顎第一小臼歯の動揺度

  噛み癖のある方が動きが悪くなります。

  あと噛み癖のある方と一致すると言われているのが、寝る時に下にする方。

  クレー射撃の上手な元総理も顔面の左右差が言われていました。銃をかまえたところをイメージしてください。当然右噛みでしょう。

  新春の特番で石川遼君がビートたけしさんと所ジョージさんとゴルフをやってマグロを食べる番組をやっていました。マグロを食べる遼君右頬がふくらんでいました。

物を噛む側.jpg

  物を噛む側が動きが悪くなり、反対側が動きが良くなります。

  院長の故郷は四国の今治です。どんな町か嵐山光三郎さんが書いています。非常に懐かしく思いました。九州新幹線の全線開通で非常に近くなります。広島県の福山から高速バスが出ています。ま、ゴールデンウィークなど渋滞時には低速バスになりますけど。是非一度お出かけ下さい。松山も「坂の上の雲」で盛り上がっているようです。院長もゴールデンウィークに一度墓参りに帰る予定です。文中に出てくる五味鳥は院長の中学時代からすでに有名でした。埼玉県の東松山は院長の研修先でもあります。

  「ああ、焼き鳥の町よ」
2003.2.14号週刊朝日P128コンセント抜いたか!嵐山光三郎
  本州と四国をまたぐ「瀬戸内しまなみ海道」は、瀬戸内海の六つの島をつなぐ七つの橋で出来ている。島から島へピョンピョンと飛ぶ感じだ。向島、因島、生口島、大三島、伯方島、大島の一番近い地点を橋でつなぎ、尾道から今治へ至る。はるか昔、因島と大三島へは、船で行った記憶がある。因島は村上水軍発祥の地で水軍城がそびえ、大三島は芸予諸島の中央に位置する島で、大山祇神社がすばらしい。
  「しまなみ海道」はまだ渡ったことがない。だから、今治市の講演会に呼ばれたとき、まっさきに、来島海峡大橋を見物にいった。おりしも夕暮れどきで、瀬戸内海はほおずき色に染まり、大橋は、天空へむかう純白の虹の回廊を思わせた。そりゃ幻想的な美しさで、息をのんだ。本州と四国には三つの橋が架かっているが、一番あとに造られたこの大橋がきわだって優美である。ポーッとして見とれているうちに講演の内容をほとんど忘れてしまい、なにを話したか覚えていない。申し訳ないことをした。
  四国に関しては、以前、こんな話をきいたことがある。お金を拾うと徳島県の男はすぐ貯金してしまう。香川県の男は、もっと落ちていないかと探しに行く。高知県の男はみんな酒を飲んでしまう。愛媛県の男はそれを元手に商売をはじめる。四国男児といってもいろいろある。
  今治は愛媛県にあって、松山空港からクルマで一時間半ほどのところにある。中小企業が多く、十人のうち九人が社長だという。石を投げると社長にあたる。そのかわり部長と名のつく人はほとんどいない。
  今治市と聞いてすぐに頭に浮かぶのは高校野球とタオルである。江戸時代よリ綿業が盛んで、タオル生産は日本一だ。ところが中国産の安いタオルが出回って、一時は五百社あったのが二百社以下に減ってしまった。いまは質のよい高級タオルを作って、中国産に対抗している。あとは伊予銀行。伊予銀行は資金量が多く、地方銀行のなかで安定した優良銀行として不動の地位にある。
  講演終了後は瀬戸内海の魚料理を食べに行くつもりであった。「潮流が速い海でとれた魚は身がしまって日本一である」と教えられた。ところが案内をしてくれた伊予銀行の安永副支店長は、人のよさそうな顔をほころばして「それでは、焼き鳥屋へ行きましょう」と言うではないか。
  なんだとお。魚を自慢しておいて焼き鳥とはなにごとであるか。せんだって北海道の名寄市へ行ったときは、エビ、カニ、ウニ、イクラ、牛タン弁当とカズノコ弁当を食したのであるぞ。
  すると横にいた十河嘉彦支店長が「そうしましょう」とうなずくではないか。仕方なく、私は近くにいた謎の麗人おふたりと一緒に、トボトボとついていくことにした。支店長が連れていった店は古ぼけた「五味鳥」という焼き鳥屋であった。奥のカウンターに座るやいなや、「皮」と注文した。みんな「カワ」「カワ」「力ワ」と忍者の合言葉の如し。値段表を見ると一皿二五0円である。
  ビールを飲むうち、ブリキの皿にキャベツ三枚、たれソース、鳥皮焼きの山盛りが出てきた。この店の焼き烏は、二十ミリの鉄板に具を乗せ、それを上から鉄のアイロンで押して焼くのである。こんな焼き方ははじめて知った。
  鳥皮がきつね色にこんがりと焼け、それをソースにつけて一口食べるとカリリとした感触がよく、香ばしくて、やたらとうまく、私は椅子からずり落ちそうになった。
  支店長はフッフッとブキミに笑って、さらに「ザンキ」と注文した。慚愧とは「恥ずかしい」という意味で、「ザンキの至り」というではないか。出てきたのは鶏の唐揚げで、地元ではセンザンキという。店の人に名の由来をきくと、中国料理の軟炸鶏(エンザーチ)が今治弁になまったものらしい。これまた味が芯までしみて、噛み心地といい、香りといいべらぼうに美味で、興奮のあまり店中を駆けめぐりたくなった。これは一皿三六0円であった。
  安永副支店長は「今治は鶏肉の焼き鳥店が日本一多い町です」と言い、ドイナカさんの本を差しあげます、と黄色い本をくれた。ドイナカとはまた凄い名前であるな。
  土井中照著「やきとり天国」には「日本一の焼き鳥シティ・いまばり焼鳥とっておきガイド」と副題がついている。その本によると今治市には五十七軒の焼き鳥屋があり、人口一万人あたり四・七軒と、対人口比率では日本一なのだそうだ。豚肉では東松山が日本一。
  今治市は昔より造船業が盛んで、その部品を造る零細鉄鋼業者が多く、鉄板を使って焼くようになった。つづいてレンコン焼き、鳥貝焼きを食べたが、いずれも鉄板の根性がしみて、しぶとい味であった。五味鳥は今治の鉄板焼き鳥の元祖の店であった。鉄のアイロンで押すため、表面はカリッと硬く、なかは柔らかくてジューシーになり、脂分がぬける。
  今治は無尽という共済システムが三百以上あり、小料理屋も無尽のおかげで倒産せずに繁盛している。月賦という制度をはじめて作ったのも今治で、明治から大正にかけては漆器や磁器の行商集団が全国を廻ったという。
  立川文庫の創立者も今治で猿飛佐助は立川文庫から生まれた。タオルの生産数は減ったとはいえ、ニューヨークのタオル大会でグランプリをとった。働く女性が多く、離婚率はけっこう高い。とまあ十河支店長の話をききながら食べる焼き鳥は滋味ぶかく胃にしみるのであった。
  焼き鳥日本一、無尽日本一、猿飛佐助、月賦、タオル、造船、離婚、伊予銀行、村上水軍、丹下健三(今治出身者)、しまなみ海道、と、今治は小説のような町であった。
  しまなみ海道には自転車道があって、無料で島から島へ渡ることができる。春になったらもう一度今治へ行き、貸自転車に乗って島へ渡り、島のなかを走ろう。ああ、焼き鳥の煙が目にしみる。

(院長註:土井中照さんはペンネームだそうです。本名は田中晃さん。院長の今治西高校の先輩でした。西高24回生。ちなみに院長は西高28回生です。ここと名簿で知りました。)

  今治と熊本の意外な関係について紹介したいと思います。
  熊本の人なら誰でも知っている横井小楠という方がおられます。ウィキペディアの一部分によると「小楠は私塾「四時軒」(しじけん)を開き、多くの門弟を輩出した。また、坂本龍馬や井上毅など、明治維新の立役者やのちの明治新政府の中枢の多くもここを訪問している。元治元年(1864 年)2月に熊本で龍馬は横井小楠を訪ね、横井小楠はのちの龍馬の船中八策の原案となる『国是七条』を説いた。

  松平春嶽の政治顧問として招かれ、福井藩の藩政改革、さらには幕府の政事総裁職であった春嶽の助言者として幕政改革にかかわる。

  明治元年(1868年)、新政府に参与として出仕するが、翌年参内の帰途、十津川郷士らにより、京都寺町通丸太町下ル東側(現在の京都市中京区)で暗殺される。享年61。」

  熊本のみならず日本の実学派の大物です。全国的には知名度が低いですが、熊本では高知の坂本龍馬、鹿児島の西郷隆盛に匹敵する維新時の尊敬されている人物です。
  横井小楠の長男で横井時雄という方がおられます。この方は熊本バンドの創設者の一人で東京の開成学校といって東大の前身の学校に行っていたのですが、熊本洋学校が閉鎖されることになって熊本バンドの人達が大挙して同志社に入学したらしいのですが、それに合流する形で同志社に入ります。この人は相当優秀だったそうで、同志社の1期生を主席で卒業したそうです。
  この横井時雄が布教のために四国に派遣され、今治に四国で初めての教会を作りました。横井小楠が暗殺されてからちょうど10年後の明治12年だそうです。小楠と時雄はキリスト教をやる、やらないでもめて、一時期母方の姓を名乗ったりしたそうですが、基本的には親子で考えは同じだったということです。
  この横井時雄が日曜日の礼拝の時にいろいろお話をしたそうです。二つのことを特に強調されたそうです。一つは産業を興して豊かになりなさいということ、もう一つは外国に目を向けなさいということです。
  時雄は話が上手で、信者も大分増やしたそうですが、話を聞きにきていた人の中から、日本手拭しかなかった時代にタオルを作ろうと言う人出てきて、外国から織り機を輸入して作り始めたそうです。その後地場産業として、タオル製造が発展し、造船もはじめ、産業がものすごく発展し、高度成長期の一時期に市民一人あたりの貯蓄残高が日本一になったそうです。まさに今治の隆盛の基礎を作ったのは横井小楠から時雄につながる実学の考えで、横井時雄は今治の大恩人と言う訳です。

  横井時雄の従兄弟の徳富蘆花も一時期時雄のところへ身を寄せる形で今治に住んでいました。 

  次のようなことを言っている人もいます。 

リウマチ、アトピー、ぜんそく、かぜ・・・病は口から入ってくる!?口呼吸の恐怖
2000.12.22、週刊朝日P138
  あなたの口、きちんと閉じてますか?口呼吸は万病のもとです−。そう言われても、首をかしげる向きも多いかもしれないが、口を閉じて鼻呼吸に変える〃治療〃で、リウマチ、アトピー、ぜんそく、かぜなど、さまざまな「免疫病」を治している医師がいる。

  東京都内の主婦(44)は、二十代からリウマチの痛みに悩まされてきた。発病したとき、医者から完治は難しいと言われた。ショックだった。三つの病院を回ったが、薬を渡されるだけだった。治らないのなら、副作用の強い薬を飲むのはやめて、痛みに耐えよう。そう自分で決めた。
  それから二十年、痛みとの闘いがずっと続いた。
  「物も飲み込めなくなって、あまりにも痛くて泣いたこともあります」
  しかし、東大医学部口腔外科で西原克成講師(60)が行う呼吸法を中心に据えた治療を受けて半年、痛みがすうっと引いていった。
・ 口呼吸を鼻呼吸に変える
・ 腫眠を十分にとる
・ 冷たい飲み物をとらない
  こんな、生活習慣を改める方法で驚くほど効果があったと、この主婦は言う。
  「冷たい飲み物もダメと一言われて、最初はそんなことで?と思いました。でも、体はすごく敏感なんだということが、よくなると実感としてわかります」
  治療のポイントは、口呼吸を徹底してやめること。
  「ほとんどの免疫病は口呼吸が原因で起こります」という西原講師の持論に、「そんな簡単なことで病気が治るの?」と、いぶかる向きも多いかもしれない。
  『健康は「呼吸」で決まる』(実業之日本社)などの著書がある西原講師は、こう説明する。
  「哺乳類のなかで、いつも口呼吸ができるのは、幼児期以降の人間だけです。人類は言葉を獲得したおかげで、本来は物を食べる役割の口でも呼吸ができるようになってしまった。鼻の粘膜から分泌される粘液は、ほこりや細菌をとらえ、吸う空気に湿気を与えます」
  つまり、高性能な空気清浄器と加湿器を兼ねた鼻を通さず、口で呼吸することは、自然の摂理に反しているというわけだ。ではなぜ、口呼吸で病気になるのか。西原講師は、こう続ける。
  「口呼吸をすると、鼻の機能が低下します。そのうえ、のどと鼻の奥にある扁桃リンパ輪が乾燥して、ウイルスや菌がカビのようにはびこる。扁桃リンパ輪は白血球をつくる組織で、ここにウイルスや細菌が巣くうと、血液中の白血球がそれを取り込み、体じゅうに運ぶようになってしまうのです」
  このため、かぜ、花粉症、アトピー性皮膚炎、ぜんそく、リウマチ、潰瘍性大腸炎など、主に体の免疫にかかわるさまざまな病気を引き起こすという。
  西原講師自身も、かつて口呼吸だった。そのために扁桃が炎症を起こし、高校生のとき切除手術を受けた。
  「長時間の講演のときなど、せきが出ることがあります。高校生のころ、口呼吸の弊害をわかっていれば」
  どうして口呼吸になってしまうのだろう。片方の奥歯で噛む「片噛み」も原因の一つだ。片噛みが続くと噛むほうの首が縮み、背骨もゆがむ。すると、縮んだ首を下にして寝る横向き寝になって、下の鼻の穴がつまりやすくなり、就寝時にも口呼吸になるという。口呼吸になるのは、無意識の場合がほとんど。子供のころからの習慣を改めるには、努力が必要だ。体に悪い口呼吸を鼻呼吸に変えるために、西原講師は、① 寝相②片噛み③口呼吸の三つをセットにして治す必要があると話す。
  ① 寝相は、上向きに寝ることを意識して矯正する。鼻が通りやすくなるように、枕は使わないか、沈み込む低いものを使う。すぐに眠れなくてもいいから、ともかく上を向いて寝る。
  ②片噛みの矯正は、虫歯になりにくいキシリトール入りのガムを噛む。口を閉じて、ふだん使わないほうの奥歯で、歯と歯がカチカチと音がしないように噛む。食事も両方の奥歯を等しく使い、三十回噛んでから飲み込む習慣をつける。
  ③ 口呼吸をやめるためには、胸を張り、腹式呼吸で鼻から息をすることも大切だ。鼻がつまっている場合には、器具で鼻呼吸をしやすくする方法もある。少し鼻の穴を広げるだけで通りがよくなり、その刺激で粘液が出て、徐々に鼻の機能が回復する。
  鼻の病気で口呼吸を強いられている人は、まずは鼻の治療をする。
  だが、西原講師は、鼻の血管を収縮させて通りをよくする点鼻薬は、治療には使っていない。
  鼻呼吸と骨休め生活改善が肝心
  というのも、耳鼻咽喉科の専門医によれば、「市販の点鼻薬に即効性の効果はあるが、操り返すと粘膜がはれる副作用がある。長期に使うと点鼻薬性鼻炎という、手術が必要なケースも出てくる」(東京慈恵会医大・森山寛教授)からだ。
  鼻呼吸がしっかりできるようになると、まず目が生きいきしてくるという。ぜんそくの治療に来た青白い顔をした幼児が、鼻呼吸を続けることで肌がつやつやと赤みを帯びてきたり、リウマチのお年寄りの女性が横になって鼻呼吸を繰り返すだけで痛みが薄れてきたりという事例を、西原講師は診察で数多く見てきた。
  「五分間呼吸が止まっただけで人は死んでしまう。呼吸はそれほど大事なものです。その入り口が鼻です。免疫も細胞の消化力の一つのすがた。呼吸がだめになれば、その働きも落ちてきます。さらに、鼻の神経は体じゅうの神経につながっていて、鼻呼吸で体の内分泌が全部活性化する」
  〃鼻呼吸健康法〃は広がりもみせている。最近『ここがおかしい風邪の常識−ぬれマスクってこんなに効く!』(ローカス)を著した川口市の歯科医・白田篤伸さん(55)は、「寝るときに、鼻をおおう部分を下に折り曲げた濡れマスクをするだけで、鼻で吸う息に湿度が加わって、かぜの予防になります」と勧める。
  西原講肺は、睡眠と食事についても指導している。
  人間は立ったり歩いたりしている間は、重い頭を支えるために、骨が負担を強いられる。骨には血と血液細胞をつくる組織があり、それが正常に働くためには、横になって十分眠ることも必要なのだという。
  「一日八時間の睡眠が必要です。睡眠を重要視しないのは日本だけ。専門家でも『質のいい睡眠を三、四時間程度でいい』と言いますが、それでは骨休めができない」(西原講師)
  食事は、ゆったりと三十回噛む。さらに、冷たい物を飲むことも、ダメ。
  人の腸は体温の三六度でなければ、消化と吸収がうまくできない。冷やすと、さまざまな障害が起きるがらだ。冷やしたビールは最悪で、冷や酒も寿命を縮めると、西原講師は話している。

  西原先生は院長の大学の先輩ですが面識はありません。三木先生の影響を受けていて、その本も出されています。講談社ブルーバックスの「生物は重力が進化させた」という本だったと思います。

  院長は自分の呼吸が悪いと自覚してタバコをやめました。タバコを鼻から吸う人を見たことないことはないですけれど、普通口から吸いますものね。タバコは口呼吸を助長します。
 

   前の記事にも少し触れていますが、濡れマスクについての記事もあります。口の渇きを訴える方にもひょっとして効果あるかもしれません。

 濡れマスク風邪に効果抜群
 2001.2.2.週刊朝日P133
  あっちでゴホン、こっちでハクション。かぜの季節。熱に苦しんでいる人も多い。そんな症状を、わずか百円ほどの投資で予防したり、軽くすませたりできる。免疲の専門家も注目する「ぬれマスク」だ。湿らせた市販のマスクを寝るときにつけるだけ。みなさん、一度お試しを。

  「六年ほど前から、寝るときにぬれマスクを使っています。使う前は年に何度かかぜをひいて、苦しい思いをしてきましたが、今は年に一度くらいかな。かかっても軽くすむ。六十五歳を過ぎたころから口が乾くようになって、夜中に何度が目が覚めていました。ぬれマスクを始めてからは、口の乾きで目が覚めることはありません。熟睡できるから、具合がいいですなあ。知人にも勧めていますが、えらく好評です」
  長野県の七十八歳の男性は、そう話す。埼王県川口市の歯科医、臼田篤伸さんの『ぬれマスク先生の風邪に勝つ本』(ユリシス)などの著書を読んで、ぬれマスクを始めた。
  「ぬれマスク」とは、市販の木綿マスクをぬらし、片手でぎゅっと絞った後、マスクの上のほうを三分の一だけ外側に折り曲げたものだ。それを夜寝るときにつけるだけ。
  そんな簡単な方法でかぜが防げるのか。詳しくは後述するが、ぬれマスクの考案者、臼田さんはこう話す。
  「かぜはウイルスに感染して起こる。薬では熱をさましたり、せきを抑えたり、症状は緩和できますが、かぜそのものは治せない。かぜが治るのは体の免疫機能が働いているからです。がぜは薬で治すのではなく、自分で治すのです。薬は、どうしても必要なとき、限定的に使うべきです」
  臼田さんは最近も『ここがおかしい風邪の常識ぬれマスクってこんなに効く!』(ローカス)を出版、かぜ予防に力を注いでいるが、歯科医の立場で専門外の研究に取り組んだのは、臼田さん自身が、かぜをひきやすい体質だったから。
  年に数回は必ずかぜをひいていた。医師一人の自営の医院で、患者の歯の状態を知っているのは自分だけだから、かぜでも仕事を休むわけにはいかない。市販のかぜ薬を飲んでいたが、症状を一時的に抑えることはできても、すぐには治らない。しかも薬を飲むと眠くなる。胃が荒れる。歯が浮いてきて、抗生物質で痛みをやわらげたことも。
  これは困ると、かぜ予防の勉強を始めたが、その手技は「十分な栄養と睡眠をとって、うがいと手洗いをする」といった方法以外、研究らしい研究がない。あれこれ思いめぐらし、臼田さんが注目したのは、かぜは空気が乾燥する冬にかかりやすいということ。
  空気が乾くと鼻や口の奥の粘膜の働きがにぶり、ウイルスを洗い流す機能が落ちてくる。だから、鼻や口の粘膜に、湿気を与えてやればいいのではないか。「最初に試したのは加湿器でした。しかし、高い湿度を保つと、部屋の中が結露でびっしょりになってしまう。枕元に加湿器を置きましたが、ふとんまで湿ってきてしまって…」
  そこで、マスクを湿らせてつけてみた。確かにのどの調子がいい。でも、ちょっと息苦しい。試行措誤を繰り返し、マスクの上の三分の一を外側に折り返して、鼻を覆わない工夫にたどりついた。
  「折り曲げると鼻の下の布に厚みが出て、水分を多く吸入する利点もあります」
  次に考えたのが、ぬれマスクをつける時間帯だ。臼田さんは経験上、朝起きたときにかぜの症状を自覚することが多かった。
  一九九五年から十五歳以上の患者さん七百六人にアンケートをとった。その結果、朝起きたときに自覚症状を感じた人が五○・四%で、統計的にも仮説は裏付けられた。同じ調べで、最初にかぜの兆候を感じるのは鼻やのどの上気道が六三・九%に上り、睡眠中のぬれマスクが予防に効果的だという根拠の一つになった。臼田さんはこの調査を論文にまとめ、九八年、学会誌に発表した。
  夜中に進む症状温気吸って予防
  では、なぜ寝ている間にかぜの症状は進むのか。
  臼田さんはこう話す。
  「昼間、起きている間に、私たちは嚥下(唾液などを飲み込む動作)を繰り返しています。かなり強い動作で、のどを刺激して血流を促し、ウイルスも洗い流している。でも、就寝中は嚥下が起こらず、のどの粘膜が乾きやすい。ウイルスも繁殖しやすくなっている。しかも、夜はウイルスを攻撃する血液中のリンパ球が増え、ウイルスと激しい闘いを開始する。このため、かぜの症状が進みやすい」
  臼田さんはこの嚥下の効果も重視している。
  「うがいはのどを閉じて行うので、ウイルスが侵入する鼻やのどの奥にある扁桃には届かず、あまり予防の効果があるとはいいがたい。でも、うがいのあとは必ず嚥下が起こるので、その効果はあります。それよりも、夜中に起きたときなど、お茶を口にふくんでクチュクチュと転がすようにして、そのままごっくんと飲み込むほうが有効です」
  白田さんはぬれマスクとともに、番茶で一日に何度か「クチュクチュごっくんうがい」をしている。
  「ぬれマスクで、がぜ薬を便う量がぐんと滅りました。冬には錠剤一瓶でも足りなかったのが、何年たってもなくならなくなった」と、日田さんは言う。
  かぜの症状が起こるしくみは、ウイルスが鼻やのどの粘膜から侵入することが発端となる。血液の中にある白血球のうちリンパ球が動員され、ウイルスを撃退する抗体をつくり、繁殖を食い止める。この抗体ができて症状が治まるまで通常七日から十日。その間、鼻水が出たり、せきが出たりする。つまり、発熱などの症状は、免疫機能が働いている証拠でもある。
  ところで、白血球には顆粒球とリンパ球という主な二つの細胞がある。顆粒球は細菌に直接食らいつき、リンパ球は細菌よりずっと小さいウイルスに対しで抗体をつくって闘いを挑むのだが、新潟大医学部の安保徹教授は、顆粒球・リンパ球と自律神経が密接に開係していることを解明した。じつは、これが、ぬれマスクの効用を裏打ちしているらしいのだ。そもそも自律神経には、内臓の働きや内分泌などを調整する働きがある。体を活動的にする交感神経と、内分泌を活発にしたり血管を広げたりする副交感神経が、まるでシーソーのように相互に作用して体を維待している。
  安保教授によれば、交感神経のほうが働くと顆粒球が活発になり、副交感神経が働くときにはリンパ球が優位に働く。このことが、かぜの症状が夜間に進行していくことと関係がある。
  安保教授は、こう説明する。
  「かぜのウイルスに感染するとまずリンパ球が増え、同時に鼻水や発熱の症状が出ます。これは副交感神経にかかわる症状。かぜの治りがけには交感神経にかかわって顆粒球が増え、黄色い鼻汁が出たり扁桃が化膿したりします」
  鼻呼吸とゴクン免疫基地を刺激
  しかも、「夜は副交感神経の働きが活発になります。するとりンパ球の割合が増え、このため発熱などの症状が進みます。寝るときにぬれたマスクをつけると、のどを乾燥から守り、さらに鼻呼吸で毛細血管を刺激して、かぜの予防にもつながる」(安保教授)
  リンパ球の数は年齢でも変化し、子どもは多い。リンパ球とウイルスが盛んに闘うので、しょっちゅう熱を出すのである。安保教授は、かぜと免疫の関係がわがってから、かぜ薬をほとんど飲まなくなった。
  ところで、ぬれマスクをすると、口が覆われるので自然と鼻呼吸になる。この鼻呼扱が免疫の機能を活性化させて、かぜ予防にもつながると指摘するのは、昨年12月22日号の「口呼吸の恐怖」で紹介した東大医学部口腔外科の西原克成講師だ。西原講師は言う。
  「ぬれマスクで物埋的に口呼吸が制限されて、鼻呼吸が促進されることで、免疫のバランスがよくなり、かぜの予防も期待できます」
  薬については、解熱剤のアスピリンを含む薬を撮用した子供が脳障害などを起こして死亡するケースや、解熱剤のジクロフェナクナトリウム(商品名・ボルタレンなど)がインフルエンザ脳炎・脳症を悪化させる恐れがあると厚生省が昨年発表するなど、副作用の悲劇は後を絶たない。
  科学ジャーナリストの児玉浩憲さんは、こう話す。「免疫のべースキャンプである扁桃を、鼻呼吸と嚥下で刺激するというのは、いいところに目をつけた。臼田さんは歯科医だから、日常の治擦の経験から生まれた発想でしょう。かぜのウイルスそのものに効く薬はない。自然治癒力を高めることでかぜを防ぐ『ぬれマスク』に注目したい」

濡れマスク.jpg

マスクの上3分の1を折ることによって、鼻を開け、口を強制的に閉じることにより、鼻呼吸を促す。

  先日診療室の書類を整理していた家内が「こんなものが出てきました。」と渡してくれたのが以下の文章です。書かれたのは当院に患者さんとして来られていた京都大学名誉教授で京大阿蘇火山研究所に勤務されていた久保寺章先生です。院長と家内が先生に地震の事を色々伺っていた時に、ご自分の書かれた文章のコピーをいただいたものです。先生は2004年に77歳で亡くなられましたが、平成7(1995)年の阪神淡路大震災の折には、専門家として、現地に派遣され、ローカルのテレビにかなり出られていました。特に読んでもらいたいのは第5章「次に発生が確実な今世紀の巨大地震はM8.4程度と予想され、太平洋ベルト地帯では大被害が予想される。災害復旧には急いでも数年はかかる。この災害は我が国の国運を左右すると考えられる。被害の及ばない日本海側に早く新幹線を作って各都市を結び「日本海ベルト地帯」を速やかに造って置いて国難に備えるべきである。」という部分です。久保寺先生が残してくれた日本にとって宝物みたいな言葉だと思います。一人でも多くの人に読んでもらって復興のグランドデザインに役立ててもらいたいと思います。この時期にこの文章が出てきたことに驚きました。

震災予防2002年9月号

私の研究人生「多くの研究協力者と共に」 京都大学名誉教授 久保寺 章

1.地球物理学教室時代

  1948年春、京都大学理学部地球物理学教室を卒業し、大学院特別研究生として佐々憲三先生の応用地球物理学講座に所属したのが、私の研究人生の始まりであった。まもなく、6月28日夕方福井地震が発生した。震央から127km離れている京都でも相当の揺れを感じた(震度Ⅳ)。地震発生から2日後先生に呼ばれ「汽車が鯖江まで開通したから震災地を見て来い」と言われ、福井市と越前平野を廻って帰った。泊まった処は、鯖江の連隊跡の建物だった。ここにはすでに京大の土木や建築学の大先生や研究生の方々が多数来ておられた。電車とトラックに便乗して移動した。本格的に調査を手伝ったのは秋口からであり、被災地の各地で表層地盤の地下構造を人工地震探査法で調査し、雪が降る頃迄続けられた。

2.地震探鉱実験グループの発足

  その後も各都市の地盤調査や地滑り地の調査の地震探査に協力した。これ等の事から、多くのピックアップを並べて地震波の伝播を調べる野外実験を佐々先生に申し上げた。当時、地震調査所に居られた飯田汲事先生や石油資源開発K.Kの林一先輩と相談され、1953年、各大学から若手研究者が集まって、地震探鉱実験グループ(通称小ハッパ)が発足した。科学研究費補助金と石油資源開発K.Kの絶大な援助により、主に新潟・山形・秋田の石油調査地などで毎年一回の割合で共同実験が実施され、各人が研究テーマを持って参加した。研究代表者は1953〜1961佐々憲三、1961〜1970飯田汲事、1970〜1976田治米鏡二の各先生であり、23回の共同実験を行い、グループ会報72号を出して1976年にその活動を閉じた。成果の纏めは「地震波の生成伝播に関する実験」と題する小冊子を発刊して終わった。この共同実験から、多くの理学博士が生まれたことは特筆に値する。

  私が最初に出した学術論文は「地殻のレオロジー的特性」であり、当時J.P.E.の編集者であった坪井忠二先生(東大)の所に持って行ったところ、「レオロジー」とは、とその意味を聞かれるほど目新しい言葉であった。坪井先生は英文を徹底的に修正して下さり、1952年にJ.P.E.vol.1 no.1に掲載して下さった。室内実験としては超音波を使った岩石の弾性波速度の測定であり、水晶の発振子(150KC)を用い、錨のマークがついている旧海軍の古い真空管を集めて計器を造った。P波はX-cut、S波はY-cutの水晶発振子を用いた。S波にY-cutを用いたのは世界で初めてだった。この実験結果もJ.P.E.vol.2.no.1.1954に載せてもらった。

3.理学部阿武山地震観測所時代

  1957年から始まった国際地球観測年(I.G.Y.)の遠地地震の観測を行うため、理学部阿武山地震観測所に助教授として移ることになった。当時の教授は南極越冬隊長の西堀榮三郎先生であったが、一度もお話する機会はなかった。

  観測所では岡野健之助氏(高知大名誉教授)等と地震計の設置・保守や毎日の観測記録の読み取りと報告に多くの時間を費やした。しかし、副産物も見つかった。それは、周期が大体9分から1分程度の長周期の波動がP波到達後、約3時間たって記録されていたことだった。これは、微気圧波の到達時間と一致しており、米国の中部太平洋上での核爆発実験によるものであった。この振動は地動ではなく、気圧変動が地震計の振子に与える浮力の変化であった。

  このことは、M.Ewing等により発表されていた。しかし計算式が彼等のものと一致しないのでしばらく発表しなかったが、彼らの計算結果が誤りであることが判ったので大分遅れて発表した。M.Ewing程の大家でも誤った計算式を発表していたことは興味があった。

4.阿蘇の理学部火山研究施設時代

  岩石実験では高圧装置が必要であり、阿武山観測所で建設が始まった。完成が近づいた1958年6月24日夜、阿蘇中岳が爆発しロープウェー工事中の作業員に死傷者が出た。このとき、大学院生であった加茂幸介氏(京大名誉教授)が観測していた高倍率地震計に前兆微動が現れたこともあって、1959年から阿蘇の火山研究施設にも、噴火予知の目的のために定員が認められた。

  この年から阿蘇に移ることになり、噴火予知の研究に専念することになった。岩石の高圧実験は、松島昭吾氏、島田充彦氏(共に京大名誉教授)等によって引継がれた。

  阿蘇に移った当座は観測室の設置や計測器の整備等で時が過ぎたが、佐々先生が研究された阿蘇火山で発生する各種の火山性微動を近代的な手法で解析するなどの他に、火山活動が休んでいる期間には、阿蘇カルデラを中心にした種々の仕事を試み、共同研究の幾つかが発足した。

  1964年から、水準点、3等・4等三角点、電力会社や道路工事関係で設置された水準点等で重力測定を実施し、阿蘇カルデラから順次測定点を周辺に増やして行った。1965〜66年には日米科学協力の「日本の火山カルデラの航空磁気重力測量」の一部として、東京大学地震研究所と協力して実施した。遂に測定範囲は国土地理院発行の地勢図(1/20万)「大分」の大部分と「熊本」の東半分まで広がった。「熊本」の西半分はすでに地質調査所が石炭調査の目的で実施ずみであったので、これと結合した結果、九州中央部の重力異常分布が判明し、中央構造線の延長上、別府湾から島原半島にかけて、相対的に低重力異常地帯が見出された。後に、松本征夫氏(山口大名誉教授)により「別府ー島原地溝帯」と命名された。

  河野芳輝教授(金沢大)はこの手法を全国に広げ、日本列島の地下構造を解明する大事業を達成された。

   佐々先生の若い頃の論文には、阿蘇カルデラの火口原でも微動が出ていることが書いてあった。そこで、1969年頃から火口原に地震計を持ち込んで微動を観察してみると、1sec~3sec程度の何時迄も続く微動が見つかった。この微動は観測地点ごとに周期が一定していた。種々調べた結果、火山性のものではなく、脈動が振動源となってカルデラ内の厚い軟弱な湖底堆積層の厚さに比例した特定の周期で発生する微動であることが判った。同種の微動は越後平野等の軟弱な厚い堆積層のある場所でも発生していることが判り、「何時でも何処でも発生している常時微動」であって、この周期を測ることが堆積層の厚さを推定する簡便な手法であることがわかった。振動源は脈動に限らず遠地地震(M7級以上)や爆発振動であっても良い。(J.P.E.vol.8 no.1 1970等)

  間もなく、この問題に興味を示す各大学の研究者(主として地震工学専攻)が集まって「やや長周期微動の研究グループ」が結成され、1973年から1985年頃まで、八戸市・濃尾平野・石狩平野などで「やや長周期微動観測と地震工学への適用」というテーマで基礎的・応用的な共同観測や研究がなされた。現在では地盤工学方面で大いに利用されるようになってきた。研究の進展には、太田裕氏・岡田広氏(共に北大名誉教授)等が指導的役割を果たされた。

  1973年6月に測地学審議会から「火山噴火予知計画」の推進が建議され、的確なより定量的な噴火予知を行うためには、現在の大学や気象庁の持っている研究・観測体勢では不充分であり、今後いっそう拡充整備をはかる必要があると述べている。この時以降、測地学審議会臨時委員として、また同時に出来た気象庁の火山噴火予知連絡会委員として、会合に出席するため上京することが多くなり、月平均3回程度の割合となった。

  阿蘇の火山研究施設でも計測器の近代化が急ピッチで進められた。火山噴火予知計画の最初の仕事は小笠原諸島の西約130kmにある西之島付近での海底噴火の調査であった。1973年12月21日には海上に出来た海底火山は海上保安庁により「西之島新島」と命名された。海底火山に詳しい小坂丈予氏(元東京工大教授や田中康裕氏(元気象庁)と相談し、赤外線走査計を用いて西之島新島およびその周辺海域の温度をエアボーン方式で測定し、同島の火山活動の現況把握や将来の活動予測の資料を得ようとした。測定は西之島新島と命名された日から約3週間後の1974年1月13日に実施し、幸い良好な結果が得られ、将来海底噴火がはじまる海域に高温域が見出される等の成果があった。空中からの赤外線映像調査は、その後の火山活動毎に実施される様になり、この調査が先駆けとなった。

  1975年1月20日頃から阿蘇カルデラ北外輪山付近で群発地震が始まり23日夜中にはM6.1の主震が発生し、一ヶ月以上続いた。北外輪の群発地震は1928〜29年頃にもあり、また、この地震群の震源の移動等から、通常の群発地震と見ていたが、現地の測候所からは火山性地震と発表され阿蘇火山噴火の前兆と騒がれたが、火山活動とは全く関係なかった。

  群発地震は古くから火山性か否かの議論があり、ぜひ特性を解明しておく必要があったので、以前から原発地震に詳しい茂木清夫氏(東大名誉教授)尾池和夫教授(京大)と相談し、全国の微小地震の研究者に集まっていただき、1978年に「群発地震研究グループ」を結成し、自然災害科学研究費などの補助金を受けた。 研究は過去の資料収集からはじめ、続いて群発地震の地域特性や成因などを調査し、年一回の割合で現地調査や研究討論集会などを開く等、現在まで共同研究が続いている。群発地震の我が国におけるデータベースは三浪俊夫教授(福岡教育大)の所で纏められ、最近刊行された。

  1983年には熊本市から地震対策基礎調査の仕事が持ち込まれた。そこで、この方面に経験が深い当時九州産業大学の学長をしておられた表俊一郎先生に代表者になっていただくことにした。委員は、熊本大学などの地質・工学の研究者で構成された。

  熊本市では1889年にM6.3の直下地震が発生し、我が国の地質学・地震学の開祖である小藤文次郎・関谷清景先生が現地調査をされ、詳しい資料が残されていた。これが大変参考となった。

  人口密集地の都市直下に震源を持つ地震が発生した場合、たとえM6級の地震であっても相当な被害が予想される。M6級の地震は、現在わが国で地震予知の対象としているM8級の地震と比べると約100倍の発生頻度があると地震統計は示している。したがって、都市直下に発生する確率も高い。今回地元の研究者が集まった機会に、100年以上前に発生した都市直下地震を近代的な地震学・地震工学の立場から再評価する共同研究を開始した。代表者は久保寺章・表俊一郎・秋吉卓(熊本大教授)が順次担当し、続けて6年間自然災害特別研究費の補助を受けて実施した。成果としては、熊本市の直下を走る立田山断層の一部が活動したことが判り、これに伴う種々なる災害の発生を示す様相が解明された。

  本稿は、共同研究を主体にして記述したものである。

5.来るべき南海トラフを震源とする巨大地震に備えて、日本海ベルト地帯を構築して置く必要がある

  南海トラフを震源とする巨大地震(東南海地震・南海地震)は今世紀の中頃には必ず発生する。これに東海地震も連動する可能性も考えられる。この巨大地震を歴史的に遡ってみると、昭和の地震(1944年12月7日M7.9東南海地震・1946年12月21日M8.0南海地震)、1854年安政地震M8.4、1707年宝永地震M8.4、等などであり、大体100〜150年の繰返しで発生している。昭和の地震は安政や宝永の地震と比較すると小型でエネルギーとしては1/10程度である。私の青年時代に両地震を体験している。終戦後にすぐ起きた南海地震では太平洋側の主要都市は空襲で消失していて、倒れる家もなかった。終戦前に発生した東南海地震では、工業地帯に大災害が発生し、生産が停止し、敗戦を早めた。

  次に発生が確実な今世紀の巨大地震はM8.4程度と予想され、太平洋ベルト地帯では大被害が予想される。災害復旧には急いでも数年はかかる。この災害は我が国の国運を左右すると考えられる。被害の及ばない日本海側に早く新幹線を作って各都市を結び「日本海ベルト地帯」を速やかに造って置いて国難に備えるべきである。

  南海トラフで発生する巨大地震では津波の被害は勿論であるが、東海道・山陽新幹線に乗って眺める景観は山地を除けば中高層ビルが地盤の良否に関係なく林立している。巨大地震では長周期の波動が発生するので、1985年のメキシコ地震M8.1のメキシコ市(震源から約300km離れている)の例に見られるように、軟弱地盤で高層建築物の被害が発生する。

  以前には考えられなかった被害が、内陸部の都市での軟弱地盤上の高層ビルでも予想される。 

  これは私の最近の考えである。 

  院長の学生時代、歯科の花形はアパタイトセラミックスインプラントでした。固い陶器の表面に骨とくっつきやすいアパタイトをコーティングしたインプラントで注目を浴びていました。ある教授が「我々は人工物の歯根ではなくて、分化した細胞から、未分化の細胞を作り出し、それで本当の歯を作ろうと本気で考えている。」と言うのを聞いて、「そんな神様みたいなこと出来る訳ないでしょう。できたとしても100年先。我々の生きている間は無理。」本気で院長は思ってしまいました。iPS細胞ならできます。20年で出来ました。その間アパタイトセラミックスインプラントはチタンインプラントに代わっていき、クローン羊ドリーの誕生(96年)などがありました。iPS細胞発見の山中教授は院長の4つ年下です。院長も教授の言葉を信じてやればできたかもしれません。教授も夢みたいなことを言い続けないといけませんね。本当に実現する人間がでてくるのですから。

 これから先何年かかるかわかりませんが、患者さんの口から綿棒で口腔粘膜の細胞を取り出し、iPS細胞に変え、歯胚(歯の卵)を作り、歯の抜けた所に植え込む、何年か先に歯が生えてくるというような状況が予想されています。iPS細胞は自分の細胞を利用するので拒絶反応とかも起こらないと言われています。 

  マウスには2万数千の遺伝子があるそうなのですが、山中教授が理化学研究所の林崎良英先生の作っているマウスのいろいろな組織や細胞で発現する遺伝子のデータベースを利用して、しらみつぶしに調べて4年かけて24個までリストアップしたそうです。山中教授が考えたのは分化した細胞を多能性にする因子は、細胞で多能性を維持している因子とかなり重なっているのではないかということで、そういう因子(遺伝子)を探したそうです。山中教授は大体100個ぐらいはそういう因子があるだろうという予測をしていたそうですが、とりあえず24個でやってみようと。それで駄目なら次の24個でと言う具合に考えていたそうですが、最初の24個の中に、すべての必要な因子が含まれていたそうです。最初の24個で作った細胞のコロニー(塊)がネズミのES細胞(こちらは受精卵を利用)のコロニーの形に似ていたそうです。ちなみにヒトのES細胞のコロニーは扁平なおせんべいのような形を、マウスのES細胞のコロニーはお茶椀のごはんををひっくり返したような盛り上がった形をしているそうです。コロニーの形が似ていることから、ひょっとしてiPS細胞が出来ているのではないかと考えて、論文に出ていた「ES細胞を心筋に変える方法」をそのiPS細胞候補にやってみたら拍動を始めたそうです。「iPS細胞ができた!」その瞬間が一番興奮したそうです。

  次に難題が待っていました。24個の遺伝子の内、どれが必要でどれが必要でないかを決めなければいけません。たった1個の遺伝子で出来るかもしれないし、24個全部必要かもしれない。24個の順列組み合わせを考えれば天文学的数字になります。今度はしらみつぶしと言う訳にはいきません。その時、「こいつなら出来るかもしれない」と思ってまかせてあった高橋和利助教が「あんまり難しく考えないで、1個ずつ抜いてみたらどうでしょう。」と言ったそうです。

  24個の遺伝子の内1個ずつ抜いた資料を24個作ってやってみたら4個ではES細胞に似た形のものはできなかったそうです。4個はそれがなければできないということで、4個を入れた資料を作って適用したら、ES細胞に似た形のものが出来たたそうです。そんな風にあっと言う間に4個を特定したそうです。

 「お前は頭いいな。」と山中教授は言ったそうですが、しらみつぶしが得意な山中教授とアイデアマンでそれを実際に行動に移すバイタリティのある高橋助教のコンビが生み出した世界的な大発見という訳です。

  最初4個だった因子は実験条件の改善により3個でも可能になったとのことです。 

  週刊朝日2011年5月20日号の127ページのフェルディナンド・ヤマグチ氏の「最後の審判」221「上を向いて歩こうVS.見上げてごらん夜の星を」にサントリーのCMが取り上げられていました。永六輔・中村八大先生の「上を向いて歩こう」と永六輔・いずみたく先生の「見上げてごらん夜の星を」をサントリーのCMに登場した人物がバトンリレー形式で歌いつないでいくもので、すばらしい出来だということで、氏は不覚にも落涙したと書かれています。是非サントリー社のウェブサイトを訪れてすべてのバージョンを視聴すべしと書かれています。院長もお勧めにより、視聴しました。確かに良かった。感動しました。

  しかし、院長がもっと感動したCMがあります。ゴールデンウィークに九州新幹線の新開通部分を初乗りした院長が、「九州新幹線」で検索をかけて、上から見て行って見つけました。3分間のロングバージョン初めて見ました。次男に「これ、いいよ」と薦めたところ、「もう見てる。何ヶ月も前からYou Tubeで話題になっているよ。」とのことです。未視聴の方がおられたら是非ご覧下さい。「日本人もパフォーマンスがうまくなったな」と感動必至です。

  「九州新幹線」で検索をかけて、上から順番に見て行って「You Tube」何とか出たらそれがそうだと思います。「九州新幹線 You Tube」で検索をかけてもいいかもしれません。JR九州の九州新幹線全線開通CMの180秒バージョンです。

  先日家内に長男の大学入学式の時に知り合いになったお母さんから電話があって、「感動のWebサイトがあって、それが本になって、自分の周りの人の間で評判になっています。是非買ってあげてください。そのWebサイトを立ち上げたのは子供達の同級生ですよ。」とのことです。

  早速Amazonで取り寄せました。読んで、涙が止まりませんでした。

  そのWebサイトとは「PRAY FOR JAPAN」、本は「PRAY FOR JAPAN 3.11世界中が祈りはじめた日」prayforjapan.jp編、講談社、¥1000です。prayforjapan開設者は鶴田浩之君、20歳の大学生です。

  震災直後に英語圏の人が、Twitterに「PRAY FOR JAPAN」と投稿し、その後多くの人がTwitter、Face Bookなどのソーシャルネットワークに「PRAY FOR JAPAN」で投稿を始めたそうです。鶴田君は「これは将来きっと日本の宝になる」と思って、多くの人が簡単に見られるようにWebサイトを開設し、投稿をまとめたそうです。開設したのは、栃木県の避難所で、まだ停電中だったそうです。 

  内容を一部紹介します。

  18ページNHKアナウンサーが絶句

  NHKの男性アナウンサーが被災状況や現況を淡々と読み上げる中、「ストレスで母乳が出なくなった母親が夜通しスーパーの開店待ちの列に並んで、ミルクが手に入った」と紹介後、絶句、沈黙が流れ、放送事故のようになった。すぐに立ち直ったけど泣いているのがわかった。目頭が熱くなった。

  27ページ海外ニュースが驚きとともに伝えたこと

  物が散乱しているスーパーで、落ちているものを律儀に拾い、そして列に黙って並んでお金を払って買い物をする。運転再開した電車で、混んでいるのに妊婦に席を譲るお年寄り。この光景を見て外国人は絶句したようだ。本当だろう、この話。すごいよ、日本。

  52ページ思い出す母の言葉

  亡くなった母が言っていた言葉を思い出す。「人は奪い合えば足りないが分け合うと余る。」被災地で実践されていた。この国の東北の方々を、日本を、誇りに思います。

  こんな感じでずっと続いていきます。

  そういえば、長男が春休みで帰って来ている時に、「同級生がテレビに出るから録画しておいて」と頼まれて、ワイドショーを一緒に見た覚えがあります。彼のことだったのですね。

  必ずやベストセラーになると思いますが、この本の印税は全額復興のための寄付にあてられるそうです。すごいよ鶴田君。

  2011年6月12日の熊本日日新聞によると、熊本で売れている本ベスト10の9位だそうです。

  待合室においておきます。

お問合せ・ご相談はこちら

受付時間
月・金 9:00~13:00/15:00~19:00
火・水・土 9:00~12:30/14:00~18:00
定休日
木曜、日曜・祝祭日

ご不明点などございましたら、お電話もしくはお問合せフォームよりお気軽にご相談ください。

お電話でのお問合せはこちら

096-337-0088
対応エリア
患者さんは、熊本市内だけでなく、菊池市、菊陽町、大津町、阿蘇郡、益城町、植木町、光の森、武蔵ヶ丘、兎谷、岩倉、新地、楡木、龍田からもいらしています。
パソコン|モバイル
ページトップに戻る