健全歯においては今まで削らない限り、持って生まれたその歯の色を変えるのは非常に困難でした。以前より当院ではホワイトニングの本場アメリカより直輸入で、健全歯の色を白くするホワイトニングシステム、オパレッセンスシステムを入手し、いち早くホワイトニングに着手してまいりました。 これにより、通常の健全歯はもちろん、今まで不可能とされてきたテトラサイクリンによる歯の着色のホワイトニングにも好結果が得られるようになりました。この度同じシステムの日本国内での販売が認可され、大幅に安価で入手できるようになり、価格も大幅に下げることができました。歯の色にお悩みの方、是非ご相談下さい。
 なお、健全歯のホワイトニングに関しては美容的側面が強いため健康保険の適用は受けられません。

新料金上下で¥38、000  

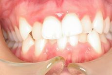
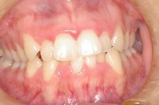
(術前)                        (術後)

ホワイトニング術前.jpg
ホワイトニング術後.jpg

比較的装着感の良いマウスピースを夜だけ入れていただきます。マウスピースに薬液を塗布します。4週間毎晩入れていただきます。        

 ホームホワイトニングは、歯科医師の指導を受けながら、自分で自宅で行っていただく方法です。ホワイトニングには様々な方法がありますが、生活歯の場合、長時間薬剤を作用させるために、ホームホワイトニングがもっとも効果が高いと言われています。
効果につきましては、個人差があります。抗生物質の副作用など先天的で内因性の変色に対しては、絶対的な効果は期待できないかもしれません。しかし、大多数の症例においては効果は確かめられています。
通常,ホームホワイトニングは夜寝ている間に行います。寝ている間は、飲食や会話をすることもなく、唾液も少ないため、最適です。
ホームホワイトニングの手順
1. まずは、歯を磨いてきれいにしましょう。
2. トレー(歯型)の、ホワイトニングジェルを入れる部分が濡れていたら、ティッシュ等でふき取ります。
3. ホワイトニングジェルを、シリンジから適量、トレーに注入します。1回の使用量の目安はシリンジの1/2〜1/3程度です。
4. トレーを歯に、完全にはめて下さい。
5. もし、トレーからホワイトニングジェルがはみ出したら、やわらかい歯ブラシ、ティッシュペーパー、指等で除去して下さい。軽いうがいならしてもらってかまいません。
6. 朝起きたら、トレーをはずし、歯やトレーについているホワイトニングジェルを歯ブラシや指で取ってきれいにしてください。(熱い湯は使用しないでください。)
7. トレーはケースに保管してください。
ホームホワイトニングの注意事項
1. 安全性は確認されていますが、一応薬剤を使います。緊急を要するものではありませんので、妊婦や授乳中の女性は行わないでください。
2. トレーをはめている時は、飲食、喫煙はしないでください。
3. ホームホワイトニングは、最低5時間連続で行ってください。(就寝時、日中何れも可)
4. ホワイトニング後1時間は、飲食、喫煙は避けてください。とくに着色の可能性のある物(コーヒー、コーラ、ウーロン茶など)は絶対口にしないで下さい。
5. ホワイトニングジェルは、涼しくて、小さな子の手の届かないところに保管してください。ただし、冷凍はしないでください。
6. トレーは、熱で変形しますので、熱い湯で洗わないでください。
7. 歯がしみる時は、毎日続けて行わず、時間も短くしてみてください。
8.ホワイトニングの不快症状として、歯がしみる、歯肉が痛い、喉が痛いという方が、若干いらっしゃいます。これらの症状は中断することにより、しばらくすれば治ってしまいます。異常がありましたら、直ちに中止して、連絡してください。
 

お問合せ・ご相談はこちら

受付時間
月・金 9:00~13:00/15:00~19:00
火・水・土 9:00~12:30/14:00~18:00
定休日
木曜、日曜・祝祭日

ご不明点などございましたら、お電話もしくはお問合せフォームよりお気軽にご相談ください。

お電話でのお問合せはこちら

096-337-0088
対応エリア
患者さんは、熊本市内だけでなく、菊池市、菊陽町、大津町、阿蘇郡、益城町、植木町、光の森、武蔵ヶ丘、兎谷、岩倉、新地、楡木、龍田からもいらしています。
パソコン|モバイル
ページトップに戻る