劇的に変わって印象深く、患者さんの満足度も高かった一症例を挙げます。

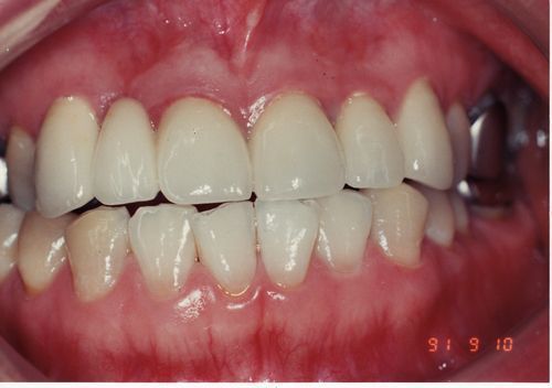
患者さんは20代の独身女性、確か病院の受付をされていた方です。上の写真は術前としていますが正確には術中です。上の歯の中央から向かって左側(患者さんにとっては右)の3本は実は仮歯が入っています。本当の術前は上の歯の中央から向かって右側(患者さんにとっては左)3本と同じような感じで歯ぐきとの境の所がまったく合っていない歯が入っていました。治療の必要があって向かって左側(患者さんにとっては右)を仮歯に変えたところ、慌てて来院され、「左側3本(向かって右側)も一刻も早くはずして入れ替えて下さい。これでは人に会えません。最終的にはいいものでいいですから 、とにかく仮歯だけでも急いで下さい。」と言われまして、「あなたは何年もこの歯を入れていたのですよ」とつっこみたくなりましたが、「それならばこの時点での写真を撮っておいて、最終的なものと比べてみましょう」ということで、写真撮影となりました。

 (術前)

審美歯科術前.jpg

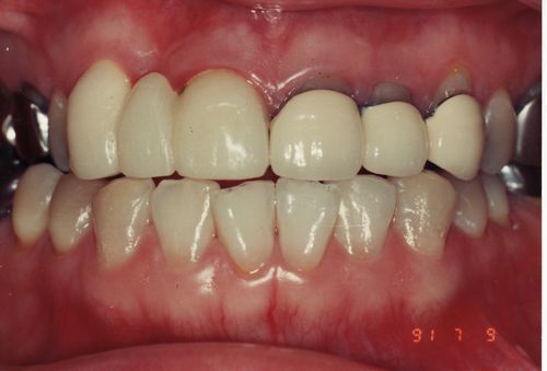
(術後)

審美歯科術後.jpg

上の前歯6本をメタルボンドCで修復しました。最終的な仕上がりにも非常に満足され、感謝されました。「少しでも長持ちさせるために歯ブラシの仕方を教えてください。」とおっしゃられていましたので、「何事にもはどほどが肝心です。大事にしたい気持ちはわかりますが、磨きすぎてかえって歯肉が下がってしまうこともありますので、磨きすぎだけには気をつけて下さい。」とお伝えしました。

本人も合っていないのは気付いていたようなのですが、人工的なものではこの程度しか仕方がないと思っていたようです。もし同じような歯が入っていてあきらめている人がいるとするならば、歯肉の状態さえよければ、この程度まで直せます。是非一度ご相談下さい。(自費診療になります。症例によって値段が変わってきます。右上2番は専門用語でブリッジのダミー(ポンティック)と言います。歯のない状態で歯肉の上に乗っかっています。1番3番と繋がっていて両側の歯に支えられています。この右上2番も1本にカウントされます。この場合メタルボンドC1本8万円×6本=48万円。これ以外に保険診療分がかかります。)

 「自己投資しなさい。まず、歯に投資しなさい。自分の歯をできるだけ残しなさい。結局はそれが健康と幸せにつながる。」
この言葉は、あの音楽業界の稀代のヒットメーカー、つんく氏が全国の経営者を対象にしたセミナーの中で発した言葉だそうです。人気バンド“シャ乱Q”のボーカリストとして一世を風靡し、オーディション番組で“モーニング娘”をプロデュース。大ヒットを連発していた彼は、何万人というオーディションを通して「歯がどれだけ重要か」を感じ、ソコソコ売れ出し稼ぎ始めた“モーニング娘”のメンバーに必ずこのことを言っていたそうです。

矯正治療のために装置を付けていてもマイナスにはならない(一時的なものだし)。逆に歯並びが悪ければ、いつなんどき顎関節症になるかわからない。(顎関節症については顎関節症の項目をご覧下さい。)口が開かなければ歌えません。お仕事にならないのです。舌癖があると、きちんと発音できない。奥歯に金や銀を被せていたら時代劇番組に使えない。普段自分では見えていないので、自分で思っている以上に歯のイメージって大事だし、歯をちゃんとしてれば、歯をちゃんとしているという自信みたいなものも外面に滲み出してきて、よりイメージアップにつながるのではないでしょうか。見てくれと思いっきり笑うのと、口元を手で隠しながら笑うのと大分イメージ変わりますよね。

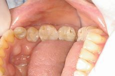
審美の意識の高まりと共に金属の詰め物を白い詰め物に置き換えたいと希望する患者さんも増えてきました。良い材質の出現で欠けやすい欠点もある程度カバーできるようになりました。下の写真は5番の小臼歯をハイブリッドセラミックスで修復後、6番7番の大臼歯の金属の詰め物を白いハイブリッドセラミックスで置き換えました。見た目がずいぶん変わりました。これで時代劇出演もOKです。ハイブリッドセラミックスは保険適用外になります。部分の詰め物の場合1本5万円です。

術前                       術後

8797術前.jpg
8797術後.jpg

お問合せ・ご相談はこちら

受付時間
月・金 9:00~13:00/15:00~19:00
火・水・土 9:00~12:30/14:00~18:00
定休日
木曜、日曜・祝祭日

ご不明点などございましたら、お電話もしくはお問合せフォームよりお気軽にご相談ください。

お電話でのお問合せはこちら

096-337-0088
対応エリア
患者さんは、熊本市内だけでなく、菊池市、菊陽町、大津町、阿蘇郡、益城町、植木町、光の森、武蔵ヶ丘、兎谷、岩倉、新地、楡木、龍田からもいらしています。
パソコン|モバイル
ページトップに戻る