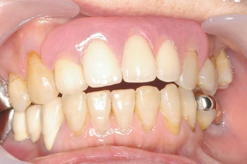
今当院で一番数が出ていて、患者さんの満足度が一番高いのがこの入れ歯だと思います。

ノンクラスプ義歯1.jpg
ノンクラスプ義歯2.jpg

これまでの部分入れ歯には金属のバネが目立つという致命的な欠陥がありました。特に前歯にしかバネを掛ける歯が残っていない場合、見苦しい思いをさせて誠に申し訳なく思っておりました。

なんとかバネが目立たない入れ歯が出来ないものかと、歯科技工士さんの創意工夫でノン(ない)クラスプ(金属のバネ)デンチャー(入れ歯)が出来上がりました。部分入れ歯のピンクのプラスチックの部分を歯ぐきに近い位置で隣の歯に引っ掛けるようにして、熟練の歯科技工士さんが目立たず装着感の良い入れ歯を作ってくれます。入れ歯を入れていることはほとんど気付かれません。コンパクト(小さい)な入れ歯になります。特に片方の奥2本だけが歯が無い場合、手前の2本にピンクのプラスチックを掛けて、片側だけで収まります。片側の奥3本歯が無い場合も同様に手前の2本にピンクのプラスチックをかけて片側だけで収まります。非常に好評です。

当院での導入当初は今の材料が日本国内で認可されていませんでしたので固い材質のものを使っていましたのでどうしても割れが発生しておりました。一昨年日本国内で認可された今の材料は非常に柔軟性に富んだものでしなります。そのためほとんど割れることはありません。またこのしなりが支える歯にかける負担を軽減します。固すぎる材質は支える歯を引き倒す力をもろに伝え過ぎます。

これで作った上の部分入れ歯の具合が あまりにいいものだから、下の総入れ歯もこれでつくったらどうでしょうかという患者さんがおられました。部分入れ歯用に開発された材料だから総入れ歯に使ってもあまり意味がないんではと思いながら、歯科技工士さんに相談しましたところ「実はこれで作った総入れ歯評判がいいんですよ。適度にしなるのがクッションみたいになるのでしょうか?」とのことです。試しに作らせていただきましたら、やはり調子いいようです。これもありかなと現在考えています。

実際の例を出します。

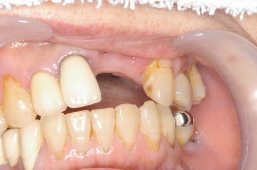
左上12欠損.jpg

左上1・2番の欠損です。ここに目立たないようにノンクラスプデンチャーを入れていきます。

患者さんは固定式のブリッジを望まれましたが、75歳と高齢で、右上1番がやや弱っているのと左上3番のポケットがやや深く、他にも弱っている歯が何本かあり数年のうちに義歯への移行はまぬがれないだろうと総合的に判断し、ノンクラスプデンチャーを選択しました。

ちなみに支台となる右上1番は17年以上前に他院で入れたもの。右上2番は17年前に当院で入れたメタルボンドAです。見た目も17年間保たれていました。うれしく思いました。

ノンクラスプ反転.jpg

入る二本の周りにピンクのウィングが付きます。これが両隣の歯への引っ掛かりとなります。

ノンクラスプセット時.jpg

入れたところです。どこに入ったのか見分けが付かなくなります。 入れたご本人もびっくり。ご本人にとって初めての義歯経験でしたが「装着感が良くて、入れているのを忘れているほどです。」と大満足でした。

周りの歯の汚い所もピンクのウイングが覆い隠してしまいます。技工士さんには石膏模型で渡しますので、模型の色しかわかりません。実際の歯や歯肉の色はわからないはずなのになぜかこの技工士さんが作るときれいになります。この自然観は技工士さんの力です。出来栄えに院長も非常に満足です。

保険外診療になります。 

義歯使用上の注意事項
1.義歯は入れたままではいけません。入れたままだと粘膜の部分に炎症が起き、赤くただれたようになってしまいます。1日のうち、合計で2時間ぐらいはずして、粘膜を休ませる事が必要です。昔は夜寝る時ははずすという指導もありましたが、現在では寝ている間にくいしばったりするので、残っている歯に負担がかかり過ぎる、顎の関節に異常がでる恐れがあるなどの理由で、夜寝る時は義歯を入れておくというのが一般的な考え方です。はずすのも、強くくいしばったりする時ではなく、リラックスしてお風呂に入っている時とか、ぼんやりとテレビを見ている時とか咬合に負担がかからない時にして下さい。
2.義歯は食事が終わるたびにはずして、残っている歯も義歯もどちらも磨いて下さい。汚れが長時間付着していると虫歯、歯周病になる可能性が高くなります。特にバネがかかっている歯は虫歯に非常にかかりやすくなります。
3.テレビで義歯の安定剤のコマーシャルが流れていますが、安定剤は使わないようにして下さい。義歯の裏側に安定剤が入ることによって微妙に調整された義歯の咬み合わせが狂ってしまい、残った歯に負担がかかり過ぎたり等色々問題が出てくる可能性があります。
4.義歯を磨く時は専用の歯ブラシを用意し(義歯用ブラシは薬局に売っています。義歯用ブラシでなくても普通の歯ブラシでいいですから、義歯のためのブラシを用意します)、基本的には何もつけないで磨いて下さい。ヌメリなどが気になる場合は、つけるとすれば石鹸ぐらいでしょう。歯磨き粉は研磨材が入っているので義歯に傷がつきます。
5.義歯の洗浄剤もテレビコマーシャルで流れています。こちらは有効な場合が多いので使用してください。使用法はそれぞれの義歯洗浄剤の用法に従って下さい。義歯の洗浄剤を使用していてもどうしても汚れが取れないという場合は気軽にご相談下さい。当院では超音波洗浄器用の歯科医院専用洗浄剤を用意していますし、それでも取れない汚れは研磨して取ることもできます。
6.義歯をはずす時は、専用容器の置き場所を決めて必ずその中に入れるようにして下さい。小さい義歯の場合は紛れてどこかにいってしまう可能性があります。
7.義歯をはずしているときは、専用容器に水をため、その中に義歯を入れて下さい。決して乾燥させないようにして下さい。
8.熱により変形する可能性がありますので、ストーブとか、熱いものに近づけないで下さい。
9.顎の骨の吸収の程度によっては調整に数ヶ月かかる場合もあります。痛い場合はあまり無理をせずに義歯をはずしておいて下さい。その場合どの部位が痛かったか覚えておいて診療日に伝えて下さい。初めて義歯を入れられる方は最初は違和感を感じるかもしれませんが、簡単にあきらめず、慣れるまで気長に付き合っていきましょう。
10何か疑問がありましたらお気軽にお電話下さい。
菊川歯科   〒861-8003熊本市北区楠4-3-18   TEL096-337-0088

お問合せ・ご相談はこちら

受付時間
月・金 9:00~13:00/15:00~19:00
火・水・土 9:00~12:30/14:00~18:00
定休日
木曜、日曜・祝祭日

ご不明点などございましたら、お電話もしくはお問合せフォームよりお気軽にご相談ください。

お電話でのお問合せはこちら

096-337-0088
対応エリア
患者さんは、熊本市内だけでなく、菊池市、菊陽町、大津町、阿蘇郡、益城町、植木町、光の森、武蔵ヶ丘、兎谷、岩倉、新地、楡木、龍田からもいらしています。
パソコン|モバイル
ページトップに戻る